ОБЩЕЕ
В начале XX века наблюдались вспышки эпидемического энцефалита. С 1915 по 1925 год болезнь охватила практически все уголки планеты, после чего заболеваемость значительно снизилась. В настоящее время фиксируются лишь отдельные случаи заболевания.
Основной путь передачи возбудителя энцефалита — гематогенный, но возможно также лимфогенное распространение инфекции. При укусе комара или клеща возбудители проникают в кровеносные сосуды вместе со слюной, распространяются с током крови и достигают мозга. Существуют также контактный и воздушно-капельный пути передачи инфекции, а также заражение через желудочно-кишечный тракт.
Непосредственный контакт с возбудителем вызывает воспаление нейронов и нервных волокон. Воспалительная реакция — это ответ иммунной системы на вторжение инфекционных, токсических или аллергических веществ, в результате чего ткани мозга отекают.
Заболевание может поразить людей любого возраста, но особенно уязвимы дети. Течение болезни у детей младше пяти лет часто бывает тяжелым, поэтому при первых симптомах энцефалита необходимо незамедлительно обращаться за медицинской помощью.
Врачи отмечают, что энцефалит представляет собой серьезное воспалительное заболевание головного мозга, которое может иметь различные причины, включая вирусные инфекции, аутоиммунные реакции и даже бактериальные инфекции. Специалисты подчеркивают важность ранней диагностики, так как симптомы могут варьироваться от легкой головной боли до тяжелых неврологических нарушений. Врачи рекомендуют обращать внимание на такие признаки, как высокая температура, спутанность сознания и судороги. Профилактика, включая вакцинацию против некоторых вирусов, таких как клещевой энцефалит, также играет ключевую роль в снижении заболеваемости. Лечение требует комплексного подхода и может включать противовирусные препараты, кортикостероиды и поддерживающую терапию. Важно, чтобы пациенты своевременно обращались за медицинской помощью, так как это может существенно повлиять на исход заболевания.

ПРИЧИНЫ
Большинство случаев энцефалита имеют вирусное происхождение и проявляются как нейроинфекция. Реже симптомы энцефалита развиваются как осложнения других инфекционных заболеваний. Кроме того, заболевание может затрагивать не только головной мозг, но и определенные участки спинного мозга.
| Тип энцефалита | Возбудитель | Симптомы |
|---|---|---|
| Вирусный (клещевой) энцефалит | Вирус клещевого энцефалита | Лихорадка, головная боль, рвота, ригидность затылочных мышц, параличи, нарушения сознания |
| Вирусный (герпетический) энцефалит | Вирус простого герпеса | Лихорадка, головная боль, спутанность сознания, судороги, очаговая неврологическая симптоматика |
| Бактериальный энцефалит | Бактерии (например, Listeria monocytogenes) | Лихорадка, головная боль, менингеальные симптомы, очаговая неврологическая симптоматика, нарушения сознания |
| Аутоиммунный энцефалит | Аутоантитела к нейрональным антигенам | Психические расстройства, судороги, двигательные нарушения, нарушения памяти |
Факты об энцефалите:
Вирус иммунодефицита и вирус клещевого энцефалита могут быть основными причинами заболевания. В организме человека возбудитель кори способен долго сохраняться в головном мозге, медленно развиваясь и вызывая воспалительные процессы в тканях.
Вирус герпеса часто обитает в нервных волокнах и при благоприятных условиях может привести к поражению головного мозга. Герпесвирусный энцефалит диагностируется примерно в 10% случаев, а уровень смертности составляет около 20%.
Распространенные детские болезни, такие как корь, ветряная оспа и паротит, также могут вызвать вторичный энцефалит. Однако в последние десятилетия этот риск значительно снизился благодаря массовой вакцинации.
Комары переносят возбудителей конского, японского и калифорнийского энцефалитов. Болезнь Лайма может развиться после укуса клеща. Все вирусные энцефалиты, передающиеся через членистоногих, обычно называют арбовирусными.
Энцефалит часто наблюдается при бешенстве, носителями которого могут быть крысы, кошки, собаки, летучие мыши и еноты.
В редких случаях причиной заболевания могут стать бактерии, вызывающие менингококковую инфекцию и сифилис.
Также вакцинация, отравление опасными химическими веществами, такими как органические растворители и тяжелые металлы, рассматриваются как возможные этиологические факторы.
Энцефалит может иметь аутоиммунную природу. По неизвестным причинам иммунные клетки начинают атаковать ткани мозга. Ученые считают, что наследственность играет ключевую роль в этом процессе.
Энцефалит — это заболевание, которое вызывает множество обсуждений и опасений среди людей. Многие отмечают, что информация о нем часто вызывает страх, особенно в регионах, где случаи заболевания фиксируются чаще. Люди делятся своими историями о том, как они или их близкие столкнулись с этой болезнью, и как это повлияло на их жизнь. Некоторые рассказывают о симптомах, таких как головные боли, высокая температура и спутанность сознания, которые заставляют их обращаться за медицинской помощью.
Многие также подчеркивают важность профилактики, включая вакцинацию и использование репеллентов от насекомых, которые могут быть переносчиками вируса. В социальных сетях активно обсуждаются советы по защите от укусов клещей и комаров, что свидетельствует о растущем интересе к этой теме. В целом, люди стремятся быть информированными и готовы делиться опытом, чтобы помочь другим избежать этой серьезной болезни.

Факторы, повышающие риск развития энцефалита:
- Ослабленный иммунитет. Люди с ВИЧ и другие, страдающие инфекционными заболеваниями, ослабляющими иммунную систему, находятся в группе повышенного риска.
- Возраст. Вирусный энцефалит чаще диагностируется у детей, у которых заболевание протекает тяжелее. Герпевирусный энцефалит чаще встречается у людей в возрасте от 20 до 40 лет.
- Географическое положение. Риск развития энцефалита значительно возрастает в регионах, где обитают переносчики возбудителей (клещи, комары). Эти формы энцефалита имеют выраженную сезонность, с пиком заболеваемости летом и в начале осени.
- Длительное пребывание на открытом воздухе. Люди, чья работа связана с длительным нахождением на улице, а также любители активного отдыха и спорта на природе, также входят в группу риска.
КЛАССИФИКАЦИЯ
Энцефалиты можно классифицировать по различным критериям.

Классификация энцефалита исходя из тяжести течения:
- длительный;
- повторяющийся;
- субострый;
- внезапный;
- крайне острый.
По глубине и локализации поражения мозга:
- корковое вещество
- подкорковая область
- мозжечковая структура
- стволовая часть
Классификация по распространенности патологического процесса:
- Полиоэнцефалит — это заболевание, при котором поражается серое вещество головного мозга.
- Лейкоэнцефалит характеризуется повреждением белого вещества головного мозга.
- Панэнцефалит представляет собой поражение, затрагивающее различные типы тканей.
Классификация энцефалитов по причинам возникновения:
- Первичные энцефалиты – это заболевания, возникающие из-за прямого воздействия нейротропного возбудителя на клетки головного мозга. К этой категории относятся практически все вирусные и бактериальные энцефалиты, такие как клещевой, комариный, эпидемический, герпетический, гриппозный и энтеровирусный.
- Вторичные энцефалиты представляют собой воспаление мозга, развивающееся как осложнение другого заболевания. Чаще всего это связано с детскими инфекциями, такими как краснуха, корь, ветряная оспа и эпидемический паротит. Вторичный энцефалит может возникнуть из-за осложнений, связанных с воспалительными процессами, проникающими черепно-мозговыми травмами, аллергическими реакциями или реакциями на вакцинацию.
СИМПТОМЫ
Заболевание может протекать без явных симптомов. Проявления болезни зависят от её причин. Энцефалит характеризуется разнообразием симптомов, но все его формы имеют общие черты, которые помогают в первичной диагностике.
Время от заражения до появления первых симптомов зависит от типа возбудителя и может составлять от 7 до 20 дней. В латентный период инфекция не проявляет себя, и выявить наличие возбудителя можно только в лабораторных условиях.
Когда вирусы начинают активно размножаться в клетках мозга, появляются первые признаки заболевания.
Симптомы энцефалита:
- Основной признак энцефалита — резкое повышение температуры тела до 39–40°С.
- Нарушения в работе нервной системы (ослабление мышц, параличи).
- Сильная головная боль и общая слабость.
- Изменения сознания на 2–3 сутки при остром течении или на 7–15 дней при вялом течении болезни.
- Кривошея, тремор, судороги.
Заболевание развивается стремительно. За короткий срок, иногда всего за несколько дней или даже часов, состояние пациента значительно ухудшается. Без надлежащего лечения вероятность летального исхода возрастает.
Особенности при поражении различных зон головного мозга:
Лобные доли отвечают за умственную активность, речь, походку и выражение эмоций. Их поражение может привести к снижению умственной активности, проблемам с речью, неустойчивой походке и вытягиванию губ.
Височные доли могут вызывать приступообразные судороги, потерю некоторых полей зрения и нарушения речи.
Теменная доля отвечает за восприятие пространства и может проявляться в трудностях с простыми математическими расчетами, утратой контроля над одной половиной тела и отрицанием наличия заболеваний.
Поражение мозжечка приводит к нарушениям координации движений, нестабильности при ходьбе и снижению мышечного тонуса.
Затылочная доля отвечает за зрительные функции, и ее повреждение может вызывать проблемы со зрением.
Воспаление менингеальных оболочек приводит к симптомам менингита, таким как сильная головная боль, напряжение мышц шеи и светобоязнь.
Подозрение на энцефалит возникает, если головная боль не проходит после приема медикаментов, сопровождается высокой температурой, тошнотой, напряжением шейных мышц, нарушениями зрения или судорогами. В таких случаях необходимо немедленно обратиться за медицинской помощью.
ДИАГНОСТИКА
Диагностика данного заболевания основывается на клинических проявлениях, анализе анамнеза и симптомах, связанных с работой мозга. В анамнезе пациента могут быть указаны недавние укусы клещей, сделанные прививки, перенесенные инфекционные болезни и проникающие травмы головы.
Диагностические процедуры для выявления энцефалита:
- Спинномозговая пункция. Исследование ликвора позволяет оценить состав белков и клеток иммунной системы (лимфоцитарный плеоцитоз) и выявить повышенное давление при его оттоке. Эти результаты указывают на воспалительный процесс инфекционного характера в головном или спинном мозге.
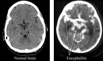
- Томография головного мозга. Если клинические проявления и анамнез предполагают воспаление мозга, назначается компьютерная томография (КТ). Для более детального трехмерного анализа рекомендуется магнитно-резонансная томография (МРТ).
- Электроэнцефалограмма (ЭЭГ). С помощью электродов фиксируется электрическая активность мозга. Отклонения от нормальных значений, такие как преобладание медленной активности и диффузные неспецифические изменения, могут указывать на развитие патологии.
- Лабораторные тесты. Для полной картины заболевания могут потребоваться клинические анализы крови, мочи и мазок из зева. Обычно наблюдаются повышенные уровни СОЭ и лейкоцитоз.
- Биопсия мозга. Этот метод применяется редко и только в случаях, когда выбранная терапия не приносит результатов, а состояние пациента ухудшается. Для гистологического анализа из головного мозга извлекается небольшой фрагмент ткани.
Дифференциальная диагностика проводится для уточнения типа энцефалита, его происхождения (первичный или вторичный), а также для исключения или подтверждения менингита или токсической энцефалопатии.
ЛЕЧЕНИЕ
Патогенетическая терапия:
- использование гормональных средств для снижения чувствительности, уменьшения воспаления и устранения избыточной жидкости;
- лечение отека мозга с помощью дегидратации;
- препараты, улучшающие кислородное снабжение тканей;
- инфузионная терапия для поддержания сбалансированного состояния организма;
- снижение чувствительности;
- назначение противовоспалительных средств;
- восстановление нормального дыхания;
- активизация микроциркуляции;
- лечение сердечно-сосудистых заболеваний;
- восстановление обменных процессов в головном мозге.
Симптоматическая терапия:
- жаропонижающие средства;
- противосудорожные лекарства;
- анальгетики;
- нейролептики;
- препараты, активизирующие передачу нервных сигналов.
Этиотропная терапия направлена на блокирование размножения вирусов, бактерий, грибков и других патогенов.
Этиотропная терапия:
- противовирусные препараты;
- антибиотики;
- иммуноглобулины.
Реабилитационная терапия важна для восстановления после острого состояния. Она помогает минимизировать последствия повреждения мозговых тканей.
Восстановительная терапия:
- физиотерапевтические методы;
- лечебная физическая культура;
- массажные процедуры;
- электростимуляция мышц;
- психотерапевтические сеансы;
- занятия с логопедом.
Наиболее интенсивный этап восстановления происходит в течение года после перенесенного энцефалита. Пациент может вернуться к нормальной жизни, но в некоторых случаях воспаление головного мозга приводит к инвалидности.
ОСЛОЖНЕНИЯ
Основные осложнения энцефалита:
- отек мозга;
- кома;
- эпилепсия;
- пожизненное присутствие вируса;
- проблемы со зрением, речью и слухом;
- ухудшение памяти;
- слабые параличи;
- кистозные образования;
- психические расстройства;
- фатальный исход.
ПРОФИЛАКТИКА
Специфических мер профилактики, подходящих для всех категорий заболеваний, не существует. Основные действия для предотвращения распространения эпидемического энцефалита включают изоляцию заболевшего и дезинфекцию его жилья и личных вещей.
Чтобы снизить риск заражения энцефалитом через укусы насекомых-переносчиков, помимо общих рекомендаций (носить плотную одежду, высокую обувь и использовать репелленты), людям, работающим в местах обитания переносчиков, рекомендуется делать профилактические прививки.
Своевременное лечение инфекционных заболеваний и регулярная массовая иммунизация детей против кори, краснухи, паротита и сезонного гриппа могут помочь предотвратить развитие вторичного энцефалита.
Кроме того, недавно созданы вакцины, которые помогают предотвратить энцефалит после укуса клеща. Для этого необходимо ввести три дозы вакцины в течение 21 дня. В большинстве случаев такой подход позволяет избежать воспаления головного мозга, однако у 3% пациентов антитела не образуются.
ПРОГНОЗ НА ВЫЗДОРОВЛЕНИЕ
Прогноз заболевания зависит от его типа, степени тяжести и возраста пациента. Если помощь оказывается вовремя и болезнь не протекает в сверхострой форме, прогноз более оптимистичен, чем при менингите. Основная угроза энцефалита заключается в длительности скрытого периода, после которого врачи сталкиваются с серьезными поражениями мозга. При клещевом энцефалите прогноз становится тревожным, так как некоторые его формы имеют высокую летальность и могут привести к инвалидности.
Вопрос-ответ
Что делает энцефалит с человеком?
Энцефалит — это воспаление головного мозга, которое сопровождается разрушением нервных тканей и ухудшением работы нервной системы человека.
Чем проявляется энцефалит?
Что такое энцефалит? Воспаление вызывает отёк мозга, который сопровождается целым комплексом симптомов: головной болью, нарушением сознания, судорогами, параличами, изменениями в поведении пациента. Заболеть может человек любого возраста, но самые тяжёлые последствия бывают у детей и пожилых людей.
Что будет, если человек заболеет энцефалитом?
Вирус опасен тем, что вызывает воспаление головного мозга. Это может привести к серьезным неврологическим нарушениям: параличу, потере памяти и когнитивным расстройствам. В тяжелых случаях заболевание может стать причиной комы или смерти.
Сколько живут с энцефалитом?
В 80% случаев заболевание длится 1–3 года. 10% больных живут дольше (до 10 лет). У 10% описано молниеносное течение, когда смерть наступает менее чем через 3 месяца. Специфического лечения нет. Цель диагностики первичных полисезонных энцефалитов — установление вида возбудителя.
Советы
СОВЕТ №1
Обязательно проконсультируйтесь с врачом, если у вас появились симптомы, такие как высокая температура, головная боль, рвота или спутанность сознания. Эти признаки могут указывать на энцефалит и требуют немедленного медицинского вмешательства.
СОВЕТ №2
Изучите информацию о профилактике энцефалита, особенно если вы планируете поездки в регионы, где это заболевание распространено. Вакцинация и использование репеллентов могут значительно снизить риск заражения.
СОВЕТ №3
Следите за состоянием своего иммунитета. Здоровый образ жизни, включая сбалансированное питание, регулярные физические нагрузки и достаточный сон, поможет вашему организму лучше справляться с инфекциями, включая вирусы, вызывающие энцефалит.
СОВЕТ №4
Если вы или ваши близкие перенесли энцефалит, важно пройти реабилитацию и следить за возможными долгосрочными последствиями. Регулярные осмотры у врача и занятия с терапевтом помогут восстановить здоровье и улучшить качество жизни.




