Этиологические факторы возникновения заболевания
Развитие аденокарциномы желудка связано с воздействием нескольких негативных факторов:
- Неправильное питание. Частое употребление полуфабрикатов, некачественных колбас, фаст-фуда и других продуктов с вредными добавками значительно увеличивает вероятность возникновения карциномы желудка. Многие усилители вкуса и консерванты обладают канцерогенными свойствами и могут способствовать формированию аденокарциномы.
- Курение. Никотин и смолы, содержащиеся в сигаретах, негативно влияют не только на легкие, но и на пищеварительную систему. Исследования показывают, что длительное курение может повреждать слизистую оболочку желудка, увеличивая риск развития онкологических заболеваний.
- Генетическая предрасположенность. Люди, чьи близкие родственники страдали от онкологических заболеваний желудка, должны быть особенно внимательны к своему здоровью, так как наследственность играет значительную роль в возникновении аденокарциномы.
- Злоупотребление алкоголем. Алкоголь нарушает кислотный баланс и повреждает эпителий желудка. Особенно опасны крепкие алкогольные напитки, такие как водка.
- Гастроэзофагеальная рефлюксная болезнь. При этой патологии происходит частый заброс содержимого желудка в пищевод, что приводит к раздражению, воспалению и развитию хронического рефлюкс-гастрита.
- Предшествующие операции на желудке. Существует мнение, что риск развития аденокарциномы увеличивается после резекции желудка по Бильрот II через 5-10 лет.
- Инфекция Helicobacter pylori. Этот микроорганизм способствует развитию гастрита и язвенной болезни, а также относится к канцерогенам 1-й группы. Язва желудка, вызванная инфекцией Helicobacter pylori, имеет высокий риск малигнизации.
Определение причин аденокарциномы желудка имеет первостепенное значение для выбора стратегии лечения, прогнозирования выздоровления и предотвращения рецидивов заболевания.
Низкодифференцированная аденокарцинома желудка представляет собой агрессивную форму рака, характеризующуюся высокой степенью злокачественности и плохим прогнозом. Врачи отмечают, что данное заболевание часто диагностируется на поздних стадиях, что значительно усложняет лечение. Основные симптомы включают боль в животе, потерю аппетита и резкое снижение веса. Специалисты подчеркивают важность ранней диагностики, так как это может существенно повысить шансы на успешное лечение. Врачи рекомендуют регулярные обследования для людей с предраковыми состояниями и наследственной предрасположенностью. Лечение обычно включает хирургическое вмешательство, химиотерапию и радиотерапию, однако выбор метода зависит от стадии заболевания и общего состояния пациента. Важно, чтобы пациенты получали комплексный подход к лечению, включая поддержку психолога и диетолога.

Основные подходы к классификации опухоли
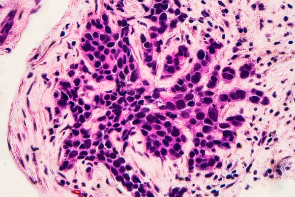
Аденокарцинома желудка
Аденокарцинома желудка, или железистый рак, делится на три типа: папиллярный, тубулярный и муцинозный. В зависимости от уровня дифференцировки опухоль может быть низкодифференцированной, умеренно- или высокодифференцированной. Недифференцированный рак считается одним из самых серьезных видов заболевания, так как он способен метастазировать даже на ранних стадиях. Форма аденокарциномы в желудке существенно влияет на прогнозы по выживаемости и выздоровлению пациента. Высокодифференцированные и умеренно-дифференцированные аденокарциномы легче поддаются лечению, чем низкодифференцированные и недифференцированные формы опухоли.
Для оценки состояния пациента с низкодифференцированной аденокарциномой используется классификация TNM. Она анализирует степень распространения опухолевых тканей, вовлечение лимфатических узлов и наличие отдаленных метастазов. На основе этой оценки врач определяет стадию заболевания. Всего выделяют четыре стадии, из которых четвертая является самой тяжелой.
Макроскопически опухоль может проявляться в виде полипоидного рака, язвенного рака, частично изъязвленной карциномы и диффузно-инфильтративного рака.
Низкодифференцированная аденокарцинома с изъязвлением относится к наиболее агрессивным формам заболевания, так как часто приводит к образованию метастазов.
| Характеристика | Описание | Клиническое значение |
|---|---|---|
| Стадия | I-IV (по TNM-классификации) | Определяет прогноз и план лечения. Более высокая стадия указывает на более агрессивное течение и худший прогноз. |
| Гистологический тип | Низкодифференцированная аденокарцинома | Характеризуется высокой степенью анаплазии (потерей клеточной дифференцировки), быстрым ростом и высокой злокачественностью. |
| Глубина инвазии (pT) | От T1 (поверхностная инвазия) до T4 (инвазия за пределы желудка) | Определяет степень распространения опухоли и влияет на выбор хирургического вмешательства и прогноз. |
| Регионарные метастазы (pN) | N0 (отсутствие метастазов в регионарных лимфатических узлах) до N3 (обширные метастазы) | Указывает на распространение опухоли и влияет на стадирование и прогноз. |
| Отдаленные метастазы (pM) | M0 (отсутствие отдаленных метастазов) до M1 (наличие отдаленных метастазов) | Наличие отдаленных метастазов указывает на IV стадию заболевания и существенно ухудшает прогноз. |
| Лимфоваскулярная инвазия | Наличие или отсутствие опухолевых клеток в лимфатических и кровеносных сосудах | Указывает на высокий риск метастазирования и влияет на прогноз. |
| Маркеры опухоли (например, CEA, CA 19-9) | Уровни могут быть повышены | Могут использоваться для мониторинга эффективности лечения и выявления рецидивов, но не являются специфичными для низкодифференцированной аденокарциномы. |
| Мутации генов | (например, TP53, CDH1, APC) | Могут влиять на чувствительность к таргетной терапии и прогноз. |
| Лечение | Хирургическое вмешательство (гастрэктомия), химиотерапия, лучевая терапия, таргетная терапия | Выбор метода лечения зависит от стадии заболевания и общего состояния пациента. |
| Прогноз | Зависит от стадии, гистологического типа и других факторов. Низкодифференцированные аденокарциномы имеют худший прогноз, чем высокодифференцированные. | Важно для планирования лечения и информирования пациента. |
Наиболее распространенные метастазы
Низкодифференцированная аденокарцинома желудка может распространяться в другие органы тремя основными способами:
- Имплантационное метастазирование — опухоль проникает в соседние ткани.
- Гематогенное метастазирование — раковые клетки перемещаются с кровотоком.
- Метастазирование через лимфатические сосуды и узлы.
Эта форма рака может давать метастазы в плевру, перикард, брюшину, диафрагму и регионарные лимфатические узлы. К специфическим метастазам, связанным с аденокарциномой желудка, относятся метастазы Вирхова, Шницлера, Айриша, Крукенберга и сестры Марии Джозеф. Опухолевые клетки могут достигать печени, легких и поджелудочной железы через кровоток. Наличие метастазов существенно ухудшает прогноз на выздоровление и приводит к различным клиническим проявлениям при аденокарциноме желудка.
Низкодифференцированная аденокарцинома желудка — это одна из наиболее агрессивных форм рака, и мнения о ней варьируются от тревожных до информированных. Многие пациенты и их близкие отмечают, что диагноз звучит как приговор, так как заболевание часто выявляется на поздних стадиях. Важно, что врачи подчеркивают необходимость ранней диагностики и регулярных обследований, особенно для людей с предрасположенностью.
Люди делятся своими историями о борьбе с этой болезнью, подчеркивая важность поддержки со стороны семьи и друзей. Некоторые пациенты отмечают, что информация о заболевании помогает им лучше справляться с диагнозом и принимать осознанные решения о лечении. В социальных сетях можно встретить группы поддержки, где обсуждаются не только медицинские аспекты, но и эмоциональные переживания.
Обсуждая низкодифференцированную аденокарциному, многие акцентируют внимание на необходимости комплексного подхода к лечению, включая химиотерапию и хирургическое вмешательство. В целом, общественное мнение формируется на основе личного опыта, медицинских исследований и доступной информации, что подчеркивает важность осведомленности и поддержки в борьбе с этим заболеванием.

Клинические проявления и особенности болезни
На ранних стадиях рак желудка часто не проявляется ярко выраженными симптомами. Пациенты могут испытывать тошноту, тяжесть в области желудка и постепенно терять аппетит. Как и при других онкологических заболеваниях, наблюдаются общая слабость, повышенная утомляемость и снижение умственной и физической активности. Иногда возникает отвращение к мясным продуктам.
При аденокарциноме часто развивается анемия, связанная с нарушением усвоения питательных веществ в желудке.
С прогрессированием болезни пациенты теряют в весе и ощущают раннее насыщение даже при небольшом количестве пищи. К симптомам добавляются дисфагия и рвота. В тяжелых случаях больные испытывают боли в области эпигастрия, которые могут различаться в зависимости от прорастания опухоли в соседние органы и ткани. К осложнениям заболевания относятся кровотечения, возникающие из-за распада опухолевых тканей или их изъязвления.
Поскольку симптомы не специфичны, врач не может установить диагноз «низкодифференцированная форма аденокарциномы» без дополнительных исследований. Важно также дифференцировать аденокарциному желудка от других заболеваний, таких как язва желудка и двенадцатиперстной кишки, различные формы гастритов, доброкачественные опухоли, туберкулез и сифилис.
Диагностика
Аденокарцинома желудка
Аденокарцинома желудка требует комплексного подхода к диагностике, включающего инструментальные и лабораторные методы. Важно обратиться к врачу-терапевту или гастроэнтерологу при первых признаках диспепсии и дискомфорта в области эпигастрия. Это значительно повышает шансы на успешное лечение аденокарциномы.
Для оценки состояния слизистой оболочки активно применяется фиброгастродуоденоскопия. Этот доступный и эффективный метод позволяет визуализировать дефекты стенки желудка, а также определить местоположение и размеры опухоли. В процессе исследования выполняется биопсия тканей пораженного участка.
Другим распространенным методом диагностики является рентгенография с контрастным веществом и ультразвуковое исследование органов брюшной полости. Среди лабораторных исследований проводятся общие анализы крови и мочи, а также определение онкомаркеров. Для подтверждения диагноза используется компьютерная томография, а для выявления метастазов может потребоваться инвазивный метод – лапароскопия.
Прогноз при низкодифференцированной аденокарциноме желудка во многом зависит от скорости установления точного диагноза и наличия метастазов.
При подозрении на аденокарциному желудка пациента направляют на обследование к онкологу. После завершения диагностики специалист определит стратегию лечения и объем необходимого хирургического вмешательства.

Лечение и профилактика
Наиболее эффективным способом борьбы с аденокарциномой является хирургическое вмешательство. В зависимости от степени распространенности заболевания и состояния пациента может быть выполнено полное или частичное удаление желудка. Лучевая и химиотерапия также могут применяться, но не являются основными методами лечения. При низкодифференцированной аденокарциноме может потребоваться удаление регионарных лимфатических узлов. В период восстановления после операции пациент адаптируется к новому режиму питания и восстанавливает основные жизненные показатели.
Если аденокарцинома дала метастазы, необходимо удалить метастатические образования. После операции крайне важно соблюдать правильное питание и режим. В случаях запущенной стадии заболевания, когда операция невозможна, врачи начинают паллиативную терапию. Аденокарцинома редко диагностируется на ранних этапах, так как пациенты часто откладывают визит к врачу и занимаются самолечением.
Прогноз более благоприятен для молодых людей и тех, кто начал лечение до метастазирования опухоли. Чтобы снизить риск развития аденокарциномы желудка, важно своевременно выявлять и корректно лечить сопутствующие заболевания, такие как язвенная болезнь, гастриты и полипы. Необходимо следить за питанием и избегать вредных привычек. Рекомендуется ограничить потребление соли, копченостей и полуфабрикатов, а также обеспечивать достаточное поступление витаминов С и Е, которые являются естественными антиоксидантами.
Вопрос-ответ
Что такое низкодифференцированная аденокарцинома желудка?
Низкодифференцированная аденокарцинома желудка (малодифференцированная аденокарцинома желудка, аденокарцинома G3 желудка). Клетки данной опухоли невозможно идентифицировать с определенной тканью. Это наиболее злокачественный тип рака желудка. Характеризуется быстрым ростом и метастазированием.
Что такое низкодифференцированная аденокарцинома?
Низкодифференцированная аденокарцинома (G3) — самая опасная форма заболевания, так как клетки опухоли очень быстро растут и распространяются в другие ткани. Тубулярная аденокарцинома толстой кишки — опухоль из клеток кубического и цилиндрического эпителия, для нее характерно бессимптомное течение.
Что такое низкодифференцированный рак желудка?
Низкодифференцированный — состоит из тканей, которые практически утратили сходство со здоровыми. Активно метастазирует, недифференцированный (аденогенный) — относится к самым агрессивным видам карцином. Клетки атипичны, лишены возможности выполнять все функции, кроме деления и питания.
В чем разница между аденокарциномой высокой и низкой степени злокачественности?
Аденокарцинома высокой степени злокачественности характеризуется агрессивным ростом, высокой способностью к метастазированию и плохим прогнозом, так как клетки опухоли имеют значительные аномалии и быстро делятся. В то время как аденокарцинома низкой степени злокачественности растет медленнее, имеет более структурированную клеточную организацию и, как правило, более благоприятный прогноз.
Советы
СОВЕТ №1
Обратитесь к врачу при первых симптомах. Если вы заметили такие признаки, как постоянная боль в животе, потеря аппетита, необъяснимая потеря веса или изменения в пищеварении, не откладывайте визит к специалисту. Раннее выявление рака может значительно повысить шансы на успешное лечение.
СОВЕТ №2
Изучите информацию о факторах риска. Понимание факторов, способствующих развитию низкодифференцированной аденокарциномы желудка, таких как курение, неправильное питание и наличие хронических заболеваний, поможет вам предпринять меры для снижения риска.
СОВЕТ №3
Следите за своим питанием. Сбалансированная диета, богатая овощами, фруктами и цельнозерновыми продуктами, может помочь поддерживать здоровье желудка. Избегайте избыточного потребления соли, копченостей и переработанных продуктов, которые могут увеличить риск развития рака.
СОВЕТ №4
Поддерживайте регулярные медицинские обследования. Если у вас есть предрасположенность к заболеваниям желудка или в вашей семье были случаи рака, регулярные обследования могут помочь в раннем выявлении проблем и своевременном начале лечения.


