Характеристика заболевания
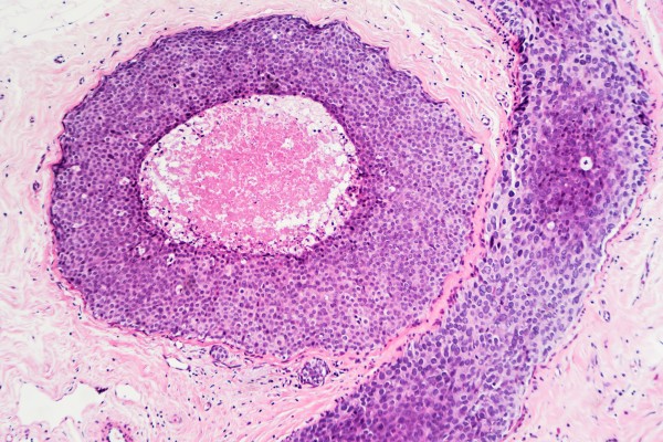
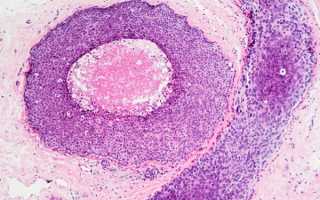
При карциноме in situ наружной части матки заболевание имеет поверхностный характер. Раковые клетки находятся в состоянии, когда они еще не проникли внутрь шейки матки. Это делает заболевание менее опасным для пациентки, однако существует риск перехода в более агрессивные формы рака.
Медицинские специалисты единодушны: если карцинома in situ будет выявлена в течение первых пяти лет с момента ее появления, вероятность выживания составляет 100%. Это связано с тем, что раковая опухоль не может развиваться из-за сильного иммунного ответа организма, и все усилия раковых клеток направлены на сохранение своего небольшого количества.
Обычно переход болезни в более сложные формы онкологии занимает около 10 лет или даже больше. Это дает возможность своевременно выявить злокачественное образование и провести необходимое лечение.
Карцинома in situ формируется исключительно из внутриэпителиальных клеток молочных желез и мочевыводящих путей. Если наблюдается поражение других тканей, данный термин неуместен. Это уже относится к другим формам злокачественных предраковых опухолей.
Молочная железа чаще всего поражается неинвазивной протоковой карциномой, известной как ПКИС. При лобулярной карциноме наблюдается дольковая гиперплазия. В любом случае это еще ранняя, преинвазивная стадия опухоли, которая поддается легкому лечению.
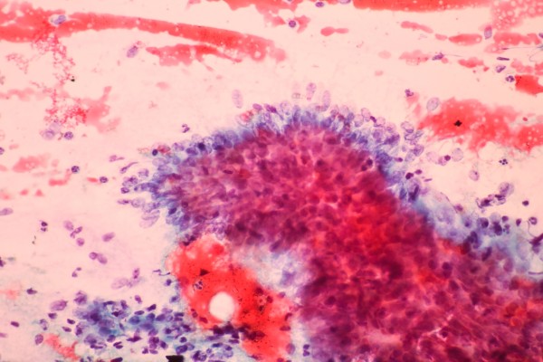
Диагностика осуществляется по следующим признакам:
- выявление атипичных клеток;
- изменение их расположения;
- изменение внешнего вида клеток в слое;
- потеря клетками полярности;
- деформация и смещение ядра клетки;
- изменения в обмене веществ, что отражается на цитоплазме.
Поскольку исследование клеток является единственным известным методом диагностики заболевания, производится забор и последующий анализ подозрительных клеток из шейки матки.
Карцинома ин ситу представляет собой раннюю стадию рака, когда злокачественные клетки находятся в пределах эпителия и не проникают в подлежащие ткани. Врачи отмечают, что данное состояние часто выявляется на ранних этапах благодаря регулярным скринингам и осмотрам. Основные факторы риска включают генетическую предрасположенность, воздействие канцерогенов и хронические воспалительные процессы. Специалисты подчеркивают важность ранней диагностики, так как карцинома ин ситу имеет высокий потенциал к излечению при своевременном вмешательстве. Лечение может включать хирургическое удаление, лучевую терапию или наблюдение, в зависимости от конкретного случая. Врачи акцентируют внимание на необходимости регулярных обследований, особенно для людей с повышенным риском, чтобы предотвратить прогрессирование заболевания.

Развитие опухоли
Когда выявляется симптом карциномы in situ, это не всегда означает угрозу для жизни пациентки. В медицинской практике известны случаи, когда опухоль оставалась стабильной на протяжении 17 лет.
Иммунная система здорового человека обычно успешно справляется с этой проблемой. Однако резкий рост заболевания может произойти, если организм ослаблен из-за других болезней, переутомления и подобных факторов. В таких ситуациях борьба организма с раковыми клетками может привести к одному из следующих исходов:
- Болезнь может перейти в инвазивный рак, что представляет наибольшую угрозу для жизни пациентки. В этом случае рак шейки матки требует срочного хирургического вмешательства.
- Опухоль может оставаться стабильной на протяжении длительного времени, не вызывая осложнений.
- Под воздействием иммунной системы болезнь может регрессировать и исчезнуть. Такие случаи довольно распространены, и многие пациенты даже не осознают, что у них были онкологические проблемы.
Развитие карциномы может быть спровоцировано физической нагрузкой, внешними факторами или кровотечением. Несмотря на положительный прогноз при карциноме in situ, врачам часто приходится принимать трудные решения, когда такая опухоль обнаруживается у беременных женщин.
С одной стороны, заболевание может прогрессировать в процессе родов, что требует лечения. С другой стороны, терапия может негативно сказаться на развитии ребенка и его здоровье.
Карцинома ин ситу — это предраковое состояние, которое характеризуется аномальным ростом клеток в эпителиальной ткани. Многие люди, столкнувшиеся с этой болезнью, отмечают, что на начальных стадиях она может не проявляться явными симптомами, что затрудняет диагностику. Важно понимать, что хотя карцинома ин ситу не является инвазивной, она может со временем перейти в более агрессивные формы рака, если не будет своевременно выявлена и лечена.
Медицинские специалисты подчеркивают значимость регулярных обследований, особенно для людей с факторами риска. Пациенты делятся опытом, что раннее обращение к врачу и соблюдение рекомендаций по лечению значительно увеличивают шансы на полное выздоровление. Обсуждая свои переживания, многие отмечают, что поддержка близких и информированность о болезни помогают справиться с тревогой и страхами, связанными с диагнозом.
| Стадия развития карциномы in situ | Описание изменений в клетках и тканях | Клинические проявления (симптомы) |
|---|---|---|
| Начальная стадия | Атипичные клетки ограничены базальной мембраной эпителия; не проникают в подлежащие ткани. Изменения могут быть микроскопически малозаметными. | Часто бессимптомно; может быть обнаружено случайно при обследовании по другому поводу. |
| Прогрессирующая стадия | Увеличение количества атипичных клеток; более выраженные изменения в клеточной архитектуре и цитологии. По-прежнему ограничено базальной мембраной. | В зависимости от локализации: изменение цвета кожи (пигментация), появление небольшого узелка или бляшки, изменение формы родимого пятна. |
| Высокая степень дисплазии (тяжелая дисплазия) | Выраженные атипичные изменения клеток, близкие к инвазивной карциноме. Риск инвазии высок. | Может быть аналогично прогрессирующей стадии, но с более выраженными изменениями. |
| Инвазивная карцинома (после преодоления базальной мембраны) | Атипичные клетки проникают за пределы базальной мембраны в подлежащие ткани. Начинается рост опухоли вглубь и метастазирование. | Зависит от локализации и стадии инвазии: боль, язвы, кровотечение, лимфаденопатия, метастатические поражения. |
Порядок лечения
Своевременная диагностика карциномы ин ситу играет ключевую роль в успешном лечении. Врачи должны убедиться, что у пациентки действительно предраковое состояние, а не уже развившийся рак. Только в этом случае возможно применение адекватных и эффективных методов терапии.
Специалисты тщательно изучают заболевание перед началом лечения. Здесь важна высокая точность. К счастью, это заболевание предоставляет пациенткам достаточно времени для диагностики, что позволяет врачам работать без спешки и с максимальной аккуратностью.
Для диагностики чаще всего используется колоноскопия. Этот метод не только помогает обнаружить очаги раковых клеток, но и позволяет взять образцы тканей для дальнейшего анализа. В настоящее время существуют различные виды колоноскопии, включая традиционную с использованием стандартного оборудования и виртуальную, которая исследует ткани с помощью рентгеновских технологий.
Лечение карциномы может варьироваться в зависимости от индивидуальных особенностей пациентки. Однако хирургическое вмешательство применяется только в тех случаях, когда заболевание переходит в рак шейки матки и если операция не противопоказана.
Наиболее распространенные методы лечения включают:
- удаление с помощью эндоскопа;
- обширную операцию;
- лучевую терапию.
Важно помнить, что в большинстве случаев карцинома не требует активного лечения. Пациентки находятся под наблюдением онколога для своевременного выявления возможного прогрессирования. Однако если у пациентки нет противопоказаний к вышеуказанным методам, с карциномой лучше не медлить.
Ключевым моментом является то, что никогда не следует откладывать углубленное исследование карциномы при наличии подозрений на онкологию. Карцинома — одна из немногих форм рака, которая поддается лечению, и пациенты имеют возможность полностью выздороветь с вероятностью 100%.

Вопрос-ответ
Что такое карцинома in situ в онкологии?
Carcinoma in situ — рак на месте, преинвазивный рак, внутриэпителиальный рак или рак 0 стадии — злокачественная опухоль на начальных стадиях развития, особенностью которой является скопление гистологически измененных клеток без прорастания в подлежащую ткань.

Как быстро прогрессирует карцинома?
Скорость прогрессирования рака зависит от его типа. Некоторые опухоли более агрессивны, могут развиваться в течение нескольких недель или месяцев. Другие растут медленнее, в течение нескольких лет.
Какое из следующих описаний характерно для карциномы in situ?
Карцинома in situ определяется как злокачественная пролиферация клеток в протоковой системе, характеризующаяся формами высокой степени злокачественности, демонстрирующими центральный комедонный некроз и кальцификацию. В то время как формы низкой степени злокачественности демонстрируют решетчатые, микропапиллярные или солидные структуры.
Чем отличается карцинома от рака?
Рак представляет собой активное прогрессирующее патологическое разрастание атипичных клеток, заменяющих нормальные ткани. Карциномы имеют тенденцию к быстрому росту за достаточно короткое время с прорастанием в соседние органы и ткани, распространением метастазов и образованием новых очагов в других частях тела.
Советы
СОВЕТ №1
Регулярно проходите медицинские обследования. Раннее выявление карциномы ин ситу может значительно повысить шансы на успешное лечение. Обсуждайте с врачом необходимость скрининговых тестов, особенно если у вас есть предрасположенность к онкологическим заболеваниям.
СОВЕТ №2
Обратите внимание на изменения в своем организме. Если вы заметили необычные изменения на коже или в других тканях, не откладывайте визит к врачу. Чем раньше будет поставлен диагноз, тем больше возможностей для эффективного лечения.
СОВЕТ №3
Изучите информацию о методах лечения карциномы ин ситу. Понимание различных подходов, таких как хирургическое вмешательство, радиотерапия или иммунотерапия, поможет вам принимать обоснованные решения совместно с вашим лечащим врачом.
СОВЕТ №4
Поддерживайте здоровый образ жизни. Правильное питание, регулярные физические нагрузки и отказ от вредных привычек могут укрепить вашу иммунную систему и помочь организму лучше справляться с заболеваниями, включая рак.

