Общие сведения
Удивительно, но четвертая неделя после зачатия соответствует уже шестой акушерской неделе беременности. В этот период женщина, если еще не осознала своего положения, начинает подозревать о нем. Основными признаками являются задержка менструации и первые симптомы токсикоза. На этой неделе у эмбриона уже начинает биться сердце, что позволяет легко его обнаружить при ультразвуковом исследовании.
На шестой неделе беременности врачи отмечают важные изменения как у женщины, так и у развивающегося плода. В этот период происходит активное формирование основных органов и систем, что делает его критически важным для дальнейшего развития. Специалисты подчеркивают, что женщина может испытывать различные симптомы, такие как тошнота, усталость и изменения в настроении, что связано с гормональными изменениями. Врачи рекомендуют обратить внимание на питание и режим дня, так как это влияет на здоровье как матери, так и ребенка. Регулярные консультации с врачом помогут контролировать течение беременности и своевременно выявлять возможные осложнения. Важно помнить, что каждая беременность уникальна, и индивидуальный подход к каждому случаю является залогом успешного результата.

Что происходит на шестой неделе
На данный момент прошло почти половина третьего триместра. На шестой неделе беременности тест на беременность показывает две четкие полоски, подтверждая радостное известие для женщины. Эмбрион продолжает развиваться, достигая длины от 2 до 5 мм. Его форма начинает напоминать плод: заметны контуры головы и хвоста, который вскоре исчезнет. На этом этапе он больше похож на маленькую рыбку или головастика, чем на человека.
Матка женщины немного увеличивается, принимая шарообразную форму. На шестой неделе беременности она по размерам и форме напоминает сливу. Если женщина подозревает о беременности, она обычно обращается в женскую консультацию. Во время осмотра врач-гинеколог может заметить увеличение матки и определить предполагаемый срок беременности.
В организме женщины продолжается процесс перестройки, который готовит её к вынашиванию плода и родам. Под влиянием гормонов на шестой неделе могут возникать изменения в настроении, раздражительность, головокружение и усталость. Эти симптомы, как правило, проходят после адаптации организма к новым условиям.
| Симптом | Описание | Советы | 
|---|---|---|
| Усталость | Постоянная усталость и сонливость. | Обеспечьте себе достаточный отдых, спите по 8-10 часов в сутки, делайте короткие перерывы в течение дня. | 
| Тошнота и рвота (утренняя тошнота) | Чувство тошноты, иногда сопровождающееся рвотой, чаще всего по утрам. | Ешьте небольшими порциями каждые 2-3 часа, избегайте жирной и острой пищи, пейте много жидкости. | 
| Изменения груди | Увеличение груди, болезненность сосков, потемнение ареол. | Носите удобное белье, используйте мягкие прокладки для груди. | 
| Частое мочеиспускание | Повышенная частота мочеиспускания. | Пейте достаточное количество жидкости, но избегайте употребления жидкости перед сном. | 
| Настроение | Перепады настроения, раздражительность, плаксивость. | Поговорите с партнером, близкими или специалистом, практикуйте расслабляющие техники (йога, медитация). | 
| Запор | Затруднения с дефекацией. | Увеличьте потребление клетчатки, пейте больше воды, занимайтесь физическими упражнениями. | 
Изменения в организме женщины
В организме женщины увеличивается выработка гормона прогестерона, который играет ключевую роль в поддержании жизнеспособности плода. Этот гормон укрепляет слизистые оболочки матки, которая постоянно растет, и улучшает кровоснабжение, необходимое для нормального развития эмбриона. Прогестерон также защищает женский организм от инфекций и вредных микроорганизмов.
С увеличением нагрузки на органы почки и печень начинают работать с удвоенной силой. Сердце функционирует более активно, чтобы обеспечить достаточное кровообращение не только к жизненно важным органам, но и к матке. У некоторых женщин в результате этих изменений может наблюдаться повышение артериального давления.
Изменения затрагивают и дыхательную систему, так как потребность в кислороде возрастает вдвое по сравнению с обычным уровнем.
Тем не менее, прогестерон может негативно влиять на пищеварительную систему, замедляя её работу и вызывая тошноту и рвоту. С 6-й недели беременности также происходят изменения во внешности женщины, вызванные гормональными колебаниями. К ним относятся:
- увеличение объема груди, вены становятся более заметными;
 - болезненные ощущения в сосках при прикосновении;
 - потемнение кожи на сосках и ареоле;
 - появление прыщей и угревой сыпи, общее ухудшение состояния кожи.
 
На этой неделе вес женщины практически не изменяется, возможна небольшая прибавка в пределах 500 г. У некоторых женщин из-за выраженного токсикоза в первые месяцы может наблюдаться значительное снижение веса.
На шестой неделе беременности многие женщины начинают осознавать, что их жизнь меняется. В этот период часто появляются первые симптомы: утренняя тошнота, усталость и изменения в настроении. Некоторые отмечают, что чувствуют себя более эмоциональными, чем обычно. Это связано с гормональными изменениями, которые происходят в организме.
На этом этапе также активно развивается плод: формируются основные органы и системы. Женщины начинают задумываться о будущем, о том, как изменится их жизнь после рождения ребенка. Многие начинают искать информацию о беременности, делятся своими переживаниями с подругами и родственниками.
Некоторые испытывают страх и неуверенность, особенно если это первая беременность. Важно помнить, что в этот период поддержка близких и общение с врачом могут помочь справиться с волнениями. Шестая неделя — это время ожидания и надежд, когда каждая женщина начинает осознавать, что вскоре станет матерью.

Признаки беременности на шестой неделе
С шестой недели беременности начинают проявляться характерные симптомы, наиболее заметным из которых является задержка менструации. При повторной беременности женщины могут заметить, что одежда становится тесной, но это не всегда связано с увеличением живота. С каждой новой беременностью мышцы становятся менее упругими.
К другим симптомам относятся:
- Утренняя тошнота и рвота, признаки токсикоза. Это нормальное состояние, так как организм адаптируется к новым условиям обмена веществ.
 - Небольшое повышение температуры тела. В этом случае могут возникнуть ломота в теле, усталость, вялость, апатия и головокружение. Повышение температуры до 37-37,2 градусов считается нормальным, но если температура выше, стоит обратиться к врачу.
 - Изменения в вкусовых предпочтениях. Женщина может начать есть продукты, которые раньше вызывали у неё отвращение.
 - Увеличение молочных желез, связанное с подготовкой организма к грудному вскармливанию.
 - Повышенная чувствительность сосков и потемнение ареол.
 - Усиленное слюноотделение и постоянное чувство голода. Несмотря на увеличенный аппетит, не стоит переедать, так как это может привести к тошноте.
 - Учащенное мочеиспускание.
 - Резкие изменения настроения. Женщина может сначала смеяться, а через несколько минут ощутить грусть.
 - Болезненные ощущения в животе. Если боли становятся постоянными, рекомендуется обратиться к гинекологу для исключения возможных патологий беременности.
 
На шестой неделе беременности могут появиться кровянистые выделения, что может быть связано с эрозией шейки матки или полипами. Даже если выделения незначительные и не вызывают дискомфорта, лучше проконсультироваться с гинекологом, чтобы исключить внематочную беременность или угрозу выкидыша.
Говорить о «беременном» животе пока рано, так как матка еще не достигла размеров, способствующих таким изменениям.
Другими признаками беременности могут быть проблемы с кишечником, такие как колики и запоры, а также появление изжоги.
Ощущения женщины
Каждая женщина в этот период испытывает уникальные ощущения, зависящие от индивидуальных особенностей организма. Некоторые чувствуют себя нормально, лишь изредка беспокоясь о том, что, кроме задержки менструации и положительного теста, у них нет других признаков беременности. В то же время другие будущие мамы уже с шестой недели сталкиваются с симптомами раннего токсикоза, который может продолжаться в среднем до 12-17 недели.
У женщин обостряются чувства: они становятся более чувствительными к запахам, вкусам и звукам. Также могут возникнуть сонливость, усталость и общая слабость, что связано с увеличением энергетических затрат организма на поддержание жизнеспособности эмбриона.
Кроме того, в этот период могут появиться дискомфортные ощущения в нижней части живота, вызванные ростом и увеличением матки, а также растяжением поддерживающих её связок. Изменения в гормональном фоне могут вызывать различные ощущения, которые значительно влияют на эмоциональное состояние женщины.

Выделения из половых путей на шестой неделе
В начале беременности выделения прозрачного или молочного оттенка, без резкого запаха и с однородной текстурой, считаются нормальными. Эти изменения вызваны гормональными перестройками в организме и не должны вызывать тревоги у женщин.
На шестой неделе беременности может проявиться молочница, что также является признаком интересного положения. Это связано с тем, что выработка хорионического гонадотропина (ХГЧ) снижает иммунную защиту, что способствует активации условно-патогенной микрофлоры. Лечение молочницы в первом триместре, как правило, не требуется, так как это заболевание не влияет на течение беременности.
Выделения желтого, зеленоватого или коричневого цвета – это тревожный сигнал. Они могут указывать на наличие инфекции или возможное кровотечение. Для выявления возбудителей необходимо сдать мазок, по результатам которого врач сможет назначить наиболее подходящее и безопасное лечение.
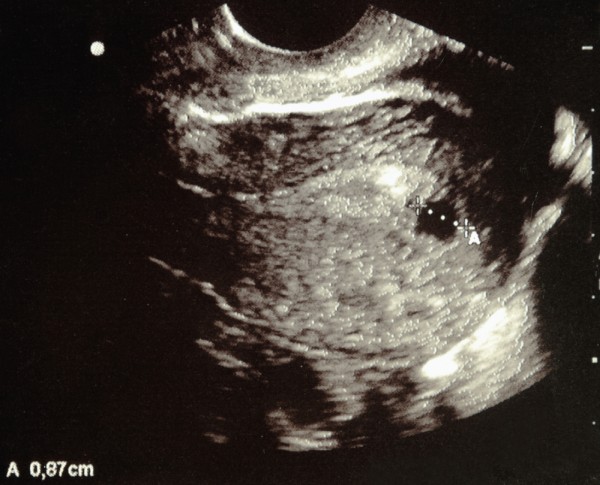
Узи
Ультразвуковое исследование позволяет определить наличие беременности на 6-й неделе, обнаруживая плодное яйцо в маточной полости. Его размер достигает 25 мм, а сам эмбрион составляет около 2-5 мм. Во время сканирования врач фиксирует увеличение матки и прикрепление эмбриона к одной из стенок (задней, передней или боковой). На экране будущий ребенок выглядит как маленькая черная точка или запятая.
Ключевым признаком беременности является сердцебиение плода, которое уже можно зафиксировать с помощью датчика.
Плод на 6 неделе
На шестой неделе беременности эмбрион достигает размеров небольшого перца и весит около 2 граммов. По форме он напоминает головастика с жабрами. При увеличении можно четко различить голову, туловище и хвост. В дальнейшем этот хвостовой отросток исчезнет и станет окончанием позвоночника.
У плода происходят следующие изменения:
- Конечности будущего ребенка начинают приобретать очертания с намеками на коленные и локтевые сгибы.
 - Костная и мышечная ткани продолжают активно развиваться.
 - Формирование черепа идет полным ходом.
 - Нервная трубка на спине затягивается тонким слоем ткани. На ее верхнем конце формируется головной мозг.
 - Лицо будущего малыша становится все более выразительным. Кроме зачатков глаз, рта и носа, развиваются щеки и будущий подбородок.
 - На шестой неделе у эмбриона формируются внутренние органы: селезенка, печень, петли кишечника, легкие и грудная клетка.
 - Половые органы начинают развиваться, но по этим зачаткам пол ребенка пока определить невозможно.
 - Образуется вилочковая железа — главный орган, отвечающий за иммунитет.
 
Ключевым событием на шестой неделе беременности является появление сердцебиения. На ультразвуковом исследовании его можно зафиксировать в конце пятой или начале шестой недели, в зависимости от времени оплодотворения. Сердцебиение плода составляет около 150 ударов в минуту, что в два раза выше, чем у здорового взрослого человека. Это связано с тем, что меньшие органы должны функционировать интенсивнее.
Однако сердечко малыша еще не полностью сформировано и не может выполнять все необходимые функции. Поэтому часть его работы, например, кроветворение, временно берет на себя печень.
Активно развивается мышечная ткань. Эмбрион проявляет повышенную чувствительность и способен реагировать на внешние раздражители. Он находится в амниотической жидкости объемом 3 мл. В этот период продолжается развитие плаценты. До ее полного формирования питание эмбриона осуществляется за счет желточного мешка.
Удивительно, но благодаря развившемуся пупочному канатику малыш уже начинает двигаться. Однако из-за его крошечного размера мама пока не может ощутить эти движения.
Возможные проблемы
На шестой неделе беременности женщина, узнавшая о своем положении, должна обратиться к врачу-гинекологу, особенно если она входит в группу риска.
К таким категориям относятся женщины, у которых:
- предыдущие беременности завершались выкидышем или преждевременными родами;
 - возраст превышает 35 лет;
 - в семье есть случаи генетических заболеваний;
 - наблюдаются нарушения в эндокринной системе;
 - в анамнезе имеются хронические инфекционные или венерические болезни.
 
Во время приема специалист проведет осмотр матки и влагалища, зафиксирует изменения и назначит необходимые анализы. Это нужно для исключения нежелательных состояний, таких как внематочная или замершая беременность, а также других патологий.
Также могут возникать тянущие боли, которые могут быть как нормальными, так и свидетельствовать о патологиях. Поэтому, если у беременной женщины возникают боли в животе, не стоит откладывать визит в женскую консультацию.
Хотя токсикоз не считается заболеванием, он может негативно влиять на организм. В этот период симптомы токсикоза могут усиливаться, и частые приступы рвоты могут приводить к значительной потере питательных веществ. Если рвота происходит более шести раз в день, это основание для обращения к врачу.
На шестой неделе беременности женщина должна внимательно относиться к своему здоровью, так как риск внематочной беременности остается высоким — около 15-20%.
Симптомами внематочной беременности могут быть кровотечения и болезненные ощущения в нижней части живота.
Чтобы снизить риск самопроизвольного прерывания беременности, женщине следует избегать:
- чрезмерной физической активности и поднятия тяжестей;
 - активных сексуальных контактов. Если нет противопоказаний, полностью отказываться от интимной близости не стоит, но следует ограничить грубые и активные движения;
 - горячих ванн, а также посещения бань и саун. Для гигиенических процедур лучше использовать душ;
 - посещения общественных мест и мест с большим скоплением людей. Это связано с повышенным риском подхватить инфекцию, которая может негативно сказаться на развитии ребенка и даже привести к выкидышу;
 - рекомендуется ограничить контакт с домашними животными. Также на шестой акушерской неделе беременности важно исключить негативные факторы на работе. При повышенной температуре или после падения следует незамедлительно обратиться к врачу-гинекологу.
 
На что обратить внимание
Питание
Если вы зарегистрировались по беременности, ваш врач, скорее всего, порекомендует витаминные добавки и даст другие советы.
- Ваш рацион должен быть разнообразным и сбалансированным. Отдавайте предпочтение продуктам с высоким содержанием белка, таким как рыба, птица и морепродукты, а также пище, богатой витаминами и микроэлементами, особенно кальцием и фолиевой кислотой.
 - Не принимайте лекарства без назначения врача и избегайте рентгеновских и флюорографических обследований.
 - Чтобы не перегружать ослабленную пищеварительную систему на 6 неделе беременности, ешьте небольшими порциями 6-7 раз в день. Лучше избегать жареных и жирных блюд. Оптимальны отварные продукты или блюда на пару.
 - Увеличьте потребление жидкости, чтобы вывести лишнюю соль из организма, которая может вызывать тошноту.
 - Ведите здоровый образ жизни. Алкоголь и табачный дым негативно влияют на развитие малыша. Помните, что закладка основных органов и систем происходит на ранних сроках. Не рискуйте здоровьем ребенка ради бутылки пива или сигареты.
 - Обеспечьте себе достаточный отдых. Беременной женщине важно спать не менее 8 часов. Гормональные изменения и токсикоз могут вызывать усталость и раздражительность. Полноценный сон поможет восстановить силы.
 - Избегайте стрессовых ситуаций. Поддерживайте позитивное настроение, это благоприятно скажется на развитии вашего ребенка.
 - Проводите больше времени на свежем воздухе.
 - На 6 неделе может начаться токсикоз. Для облегчения приступов тошноты полезно устраивать легкие перекусы прямо в постели, например, использовать кусочек лимона или белого хлеба. Имейте при себе небольшой перекус для борьбы с тошнотой.
 - Откажитесь от тесной и неудобной одежды. Выбирайте свободные вещи из натуральных тканей.
 - Если у вас есть проблемы с зубами, посетите стоматолога для санации ротовой полости. Обязательно сообщите врачу о беременности, так как некоторые виды анестезии могут быть противопоказаны.
 
Вопрос-ответ
Можно ли в 6 недель беременности лежать на животе?
Поза на животе. Врачи рекомендуют отказаться от этой позы уже первых недель, до того, как увеличенный живот не даст возможности спокойно засыпать. Если вы боитесь во время сна, не контролируя движений, произвольно перевернуться на живот, можно подложить большую подушку, не позволяющую поменять положение.
Какая самая сложная неделя беременности?
Самой сложной неделей беременности считается 8-9 неделя, когда у многих женщин могут проявляться сильные симптомы токсикоза, такие как тошнота и усталость. В этот период происходит активное формирование органов и систем плода, что может вызывать дополнительные физические и эмоциональные нагрузки на будущую маму.
Что покажет УЗИ в 6 недель беременности?
На 6-й неделе уже получится определить многоплодную беременность. Размеры плодного яйца. Этот показатель необходим врачам для уточнения срока гестации. Сердцебиение эмбриона.
Советы
СОВЕТ №1
Следите за своим питанием. На 6 неделе беременности важно обеспечивать организм всеми необходимыми витаминами и минералами. Увеличьте потребление фруктов, овощей, цельнозерновых продуктов и белка. Это поможет поддерживать здоровье как ваше, так и вашего будущего малыша.
СОВЕТ №2
Обратите внимание на физическую активность. Легкие физические упражнения, такие как прогулки или йога для беременных, могут помочь улучшить общее самочувствие и снизить уровень стресса. Однако перед началом любых тренировок проконсультируйтесь с врачом.
СОВЕТ №3
Не забывайте о регулярных визитах к врачу. На этом этапе беременности важно следить за своим состоянием и проходить необходимые обследования. Регулярные консультации помогут выявить возможные проблемы на ранних стадиях и обеспечить здоровье вам и вашему ребенку.
СОВЕТ №4
Общайтесь с партнером и близкими. Поддержка со стороны родных и близких людей может значительно облегчить эмоциональное состояние во время беременности. Делитесь своими переживаниями и радостями, это поможет создать крепкую связь с вашим малышом и укрепить отношения с партнером.




