Общие сведения
11 недель беременности – это сколько месяцев? Этот срок соответствует середине третьего месяца и относится к первому триместру. В этот период у малыша начинает формироваться хватательный рефлекс. С этого момента плод активно растет и развивается, а у женщины постепенно уменьшаются симптомы тошноты и рвоты.
На 11 неделе беременности врачи отмечают, что плод продолжает активно развиваться. В этом периоде формируются основные органы и системы, что делает его критически важным для дальнейшего развития. Женщина может испытывать различные изменения в организме, такие как утренняя тошнота и усталость, что связано с гормональными перестройками. Врачи советуют обратить внимание на питание, так как оно должно быть сбалансированным и богатым витаминами. Также важно следить за эмоциональным состоянием, так как стресс может негативно сказаться на здоровье как матери, так и ребенка. Регулярные консультации с врачом помогут контролировать течение беременности и своевременно выявлять возможные проблемы.

Что происходит во время 11 недели беременности
Малыш активно развивается, и размер матки значительно увеличивается. Она занимает почти всё пространство в малом тазу, что может давить на соседние органы. Это приводит к частым позывам к мочеиспусканию и дискомфорту.
На 11-й неделе беременности организм женщины направляет все ресурсы, энергию и питательные вещества на рост малыша. Поэтому калорийность рациона будущей мамы должна увеличиться на 25%. Потребность в энергии возрастает, как и необходимость в воде. Рекомендуется употреблять не менее 2,5 литров жидкости в день.
В этот период у ребенка формируются сосательный и хватательный рефлексы, а развитие мозжечка способствует координации движений плода. Все основные органы уже сформированы, и малыш начинает напоминать маленького человечка.
| Симптом | Описание | Советы |
|---|---|---|
| Усталость | Повышенная утомляемость, сонливость. | Обеспечьте себе достаточный отдых, спите по 8-10 часов в сутки, избегайте чрезмерных физических нагрузок. |
| Тошнота и рвота (утренняя тошнота) | Чувство тошноты, иногда рвота, особенно по утрам. | Ешьте небольшими порциями каждые 2-3 часа, избегайте жирной и жареной пищи, пейте много жидкости. |
| Изменение вкусовых предпочтений | Изменение вкусовых ощущений, тяга к определенным продуктам или отвращение к другим. | Прислушивайтесь к своему организму, ешьте то, что вам хочется (в разумных пределах), убедитесь, что ваш рацион сбалансирован. |
| Набор веса | Незначительный набор веса. | Следите за своим питанием, избегайте переедания, регулярно занимайтесь легкой физической активностью. |
| Частое мочеиспускание | Повышенная частота мочеиспускания. | Пейте достаточное количество жидкости в течение дня, но избегайте большого количества жидкости перед сном. |
| Запор | Затруднения с дефекацией. | Увеличьте потребление клетчатки, пейте больше воды, регулярно занимайтесь физическими упражнениями. |
| Головные боли | Периодические головные боли. | Отдыхайте, пейте достаточно воды, при необходимости проконсультируйтесь с врачом. |
| Набухание груди | Увеличение размера груди, болезненность сосков. | Носите удобное белье, используйте специальные прокладки для груди. |
| Изменения настроения | Перепады настроения, раздражительность, плаксивость. | Постарайтесь расслабиться, поговорите с близкими, при необходимости обратитесь к специалисту. |
| Выделения из влагалища | Увеличение количества влагалищных выделений. | Следите за цветом и запахом выделений, при появлении необычных выделений обратитесь к врачу. |
Сколько месяцев на 11 неделях беременности?
Завершается третий месяц беременности — ключевой этап в жизни будущего малыша. Если отсчитывать срок беременности от первого дня последней менструации (при условии, что акушерский месяц длится 4 недели), то этот период соответствует окончанию третьего месяца. На данный момент возраст плода составляет 9 недель.
На 11 неделе беременности многие женщины начинают ощущать первые признаки своего нового состояния. В этот период часто отмечается уменьшение токсикоза, что приносит облегчение и радость. Будущие мамы делятся впечатлениями о том, как меняется их тело и настроение. Некоторые замечают, что животик начинает немного округляться, и это придаёт уверенности в том, что они на правильном пути.
Многие обсуждают важность регулярных медицинских осмотров и ультразвуковых исследований, которые помогают следить за развитием плода. В это время также активно обсуждаются вопросы питания и образа жизни, ведь здоровье мамы напрямую влияет на здоровье малыша. Женщины советуют друг другу больше отдыхать, заниматься легкими физическими упражнениями и уделять внимание своему эмоциональному состоянию.
В целом, 11 неделя — это время надежд и ожиданий, когда будущие мамы начинают осознавать, что вскоре в их жизни появится новый человек.

Изменения в организме женщины
В этот период женщина может заметить значительные изменения во внешнем виде: ногти становятся ломкими, а волосы могут начать выпадать. Сопротивляться этим изменениям не имеет смысла, так как они обусловлены гормональными изменениями в организме. Все процессы нормализуются только после рождения малыша.
На третьем месяце беременности живот еще не заметен, так как размеры матки на одиннадцатой неделе остаются в пределах малого таза. Объем живота может увеличиваться из-за повышенного газообразования и метеоризма, а также в случае многоплодной беременности. Живот на одиннадцатой неделе может быть виден, если женщина забеременела сразу после родов предыдущего ребенка.
В этот период могут наблюдаться сильная усталость, слабость и головокружение. Если эти симптомы продолжают беспокоить, женщине следует обратиться к гинекологу и пройти необходимые обследования. Подобные состояния могут быть вызваны анемией, когда объем крови в организме увеличивается, а выработка красных кровяных клеток спинным мозгом снижается.
Признаки беременности
- отсутствие менструации;
- утренние недомогания и тошнота;
- повышенное потоотделение;
- газообразование в кишечнике, метеоризм;
- проблемы со стулом, запоры;
- изжога и жжение в области груди;
- учащенное мочеиспускание;
- болезненность молочных желез, повышенная чувствительность сосков и ареол, набухание груди;
- увеличение влагалищных выделений;
- повышение температуры тела – температура 37-37.4 градуса по Цельсию считается нормальной в этот период; сбивать её медикаментами не рекомендуется, однако при превышении 38 градусов необходимо обратиться к врачу;
- усиленное слюнотечение;
- изменение вкусовых предпочтений в пище – могут возникать неприятные ощущения от резких запахов, а предпочтения в еде могут стать необычными;
- слабость и головокружение – возникают из-за недостаточной выработки крови в организме; чтобы избежать неприятных последствий, важно поддерживать оптимальный уровень сахара в крови.
11 акушерская неделя беременности – это период, когда гормональные изменения начинают стабилизироваться. Раздражительность, эмоциональная нестабильность и вспыльчивость становятся менее заметными. Тем не менее, плаксивость, необъяснимые желания и другие изменения в психоэмоциональном состоянии могут сохраняться до конца беременности.

Ощущения женщины
Что происходит в организме на третьем месяце беременности? Обычно к одиннадцатой неделе у женщин наблюдается исчезновение или значительное ослабление токсикоза. Это связано с активным функционированием плаценты. Ранее гормон ХГЧ вырабатывался оболочкой эмбриона для его жизнедеятельности, но теперь эти функции перешли к плаценте.
На смену токсикозу приходят новые проблемы с пищеварением. Изменения в гормональном фоне могут вызывать сокращение мышц, поддерживающих желудок, что приводит к попаданию желудочного сока в пищевод. К одиннадцатой неделе беременности матка начинает увеличиваться, оказывая давление на кишечник. Это может вызывать повышенное газообразование, метеоризм и запоры.
Хотя живот еще не заметен, многие женщины отмечают, что привычная одежда стала более тесной. Это связано с расширением костей таза.
Выделения из половых путей
В период беременности выделения светлого, молочного и желтоватого оттенков считаются нормальными. На одиннадцатой акушерской неделе их количество может увеличиться из-за активной функции половых желез. Если такие выделения не вызывают дискомфорта или болей, поводов для беспокойства нет.
Однако гнойные выделения во время беременности — это сигнал обратиться к врачу. Специалист проведет необходимые анализы и обследования, а затем назначит безопасное и эффективное лечение.
Кровянистые выделения на одиннадцатой неделе могут возникнуть после интенсивного полового акта из-за возможного повреждения стенок влагалища.
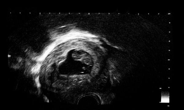
УЗИ
11-я неделя – это время первого запланированного скринингового обследования. Оно позволяет оценить рост и размеры ребенка, его жизнеспособность, способ прикрепления к стенкам матки, а также выявить возможные патологии.
Определить пол ребенка можно только с использованием современного высокочувствительного оборудования и при условии, что малыш займет удобное для просмотра положение. Обычно к этому сроку он уже располагается правильно – головой вниз.
Развитие плода
11-я неделя беременности
11-я неделя беременности — важный этап, когда ребенок завершает эмбриональную стадию и начинает активно расти. Все органы и системы уже сформированы, но негативные внешние факторы могут повлиять на развитие плода. На одиннадцатой неделе длина малыша достигает 45-60 мм, а его вес составляет примерно 8 г.
Малыш становится все более похожим на человека, хотя его ручки пока значительно длиннее ножек. Голова остается непропорционально большой из-за активного развития головного мозга и формирования его основных отделов. Шея малыша продолжает удлиняться, что позволяет ему поднимать и поворачивать голову, меняя ощущения в животе на сроке 11 недель беременности.
У плода развиваются хватательный и сосательный рефлексы, а благодаря сосочкам на языке он уже способен ощущать вкус амниотической жидкости. Завершается формирование диафрагмы, что может приводить к икоте, хотя будущая мама пока этого не ощущает.
У мальчиков начинают формироваться половые органы, и при проведении ультразвукового исследования врач может определить пол ребенка, но для этого требуется высокочувствительный УЗИ-аппарат. Лицо плода продолжает развиваться, а в глазах появляются первые признаки радужной оболочки.
На 11-й неделе беременности продолжается рост и развитие всех внутренних органов. Печень активно вырабатывает кровь, а почки начинают производить мочу. Ребенок регулярно мочится в амниотическую жидкость, которая постоянно обновляется и выводится из организма с помощью плаценты и почек матери.
Многие внутренние органы начинают функционировать: желчный пузырь вырабатывает желчь, спинной мозг начинает производить эритроциты, гипофиз синтезирует гормоны, а печень образует белки, которые активно участвуют в формировании всех органов и систем малыша.
Возможные проблемы
На одиннадцатой неделе беременности женщина может испытывать различные ощущения в области живота. В этот период важно пройти обязательное скрининговое обследование и сдать биохимический анализ крови. Это поможет оценить состояние и жизнеспособность плода, а также выявить возможные аномалии в его развитии. На этом этапе могут быть обнаружены следующие проблемы:
- угроза прерывания беременности;
- замершая беременность;
- пузырный занос;
- варикозное расширение вен;
- гипотония – пониженное артериальное давление.
Чтобы минимизировать риск осложнений, рекомендуется избегать приема медикаментов, рентгенографического обследования органов малого таза, употребления алкоголя и чрезмерного курения. Также стоит ограничить посещение общественных мест, чтобы избежать простудных заболеваний, и внимательно отслеживать каждое новое ощущение в животе.
На что обратить внимание?
Во время беременности женщина должна уделять себе больше внимания, отдыхать, гулять на свежем воздухе, хорошо питаться, а также соблюдать все рекомендации врача:
Питание во время беременности должно быть сбалансированным. Сколько раз в день и в каких объемах следует принимать пищу? Чтобы избежать тошноты и изжоги, рекомендуется есть небольшими порциями 6-7 раз в сутки. В рацион стоит включить творог, говядину и другие продукты, богатые витаминами и минералами. Необходимо исключить жареные, соленые и жирные блюда.
Поддержание стабильного уровня сахара в крови имеет большое значение. Для этого полезно употреблять продукты с высоким содержанием сложных углеводов, такие как каши, хлебцы и макароны из твердых сортов пшеницы.
Если вы сталкиваетесь с вздутием живота, стоит отказаться от сладостей, мягкого хлеба, капусты, винограда и других продуктов, способствующих образованию газов. При сохранении симптомов рекомендуется обратиться к врачу.
Чтобы обеспечить организм достаточным количеством жидкости, необходимо выпивать не менее 2,5 литров воды в день.
После 11 недель беременности живот начинает увеличиваться, но от половых контактов отказываться не следует, так как они не могут навредить ребенку. Напротив, они важны для матери и малыша, так как способствуют выработке эндорфинов, отвечающих за чувство счастья. Если такие контакты вызывают дискомфорт, стоит подобрать удобные позы.
Если во время мочеиспускания возникают неприятные ощущения или рези внизу живота, следует обратиться к специалисту. Эти симптомы могут указывать на воспаление слизистой оболочки мочевого пузыря, известное как цистит.
При частом потоотделении рекомендуется носить одежду из натуральных тканей, позволяющую коже дышать. По возможности, стоит принимать душ 2-3 раза в день и менять нижнее белье.
Не стоит отказываться от физической активности; полезно заниматься плаванием, йогой и фитнесом для беременных. Пешие прогулки также очень полезны, так как они поддерживают организм в тонусе, повышают иммунитет и улучшают фигуру.
Женщинам, которые курят, следует прекратить употребление никотина. Идеально было бы избавиться от этой привычки еще до зачатия.
Многих женщин в этот период беспокоят перепады настроения. Не стоит этого бояться — эмоциональные колебания объясняются действием гормонов и не являются негативным явлением. Важно контролировать свои эмоции, проявлять благоразумие и терпение, избегать переутомления. Сильные нагрузки могут стать стрессом для будущей мамы. Необходимо научиться расслабляться — это пригодится как во время беременности, так и в процессе родов.
Вопрос-ответ
Что должна чувствовать беременная на 11 неделе?
Плаксивость, раздражительность и повышенная тревожность первых недель позади. Большинство мам чувствуют на 11 неделе беременности своеобразный эмоциональный ренессанс.
Как выглядит живот в 11 недель беременности?
Живот на 11 неделе беременности продолжает округляться по мере роста матки. Ее размеры в среднем составляют 135 х 70 х 102 мм, а дно матки определяется над лоном. Если вы по каким-либо причинам не спешите сообщать окружающим о своем интересном положении, достаточно надеть просторную одежду.
Можно ли на 11 неделе почувствовать шевеление?
На сроке беременности 11–12 недель многим женщинам уже не терпится почувствовать шевеления крохи. В некоторых случаях другие ощущения в животе воспринимаются за шевеления малыша. Однако развитие плода не достигло той стадии, когда его движения улавливаются мамой. До этого волнительного момента несколько недель.
Какая неделя самая опасная в 1 триместре?
Самый опасный период включает в себя 28–32-ю недели. Если на данном этапе произойдут преждевременные роды, то они могут серьезно угрожать здоровью и жизни ребенка.
Советы
СОВЕТ №1
Следите за своим питанием. На 11 неделе беременности важно обеспечить организм всеми необходимыми витаминами и минералами. Увеличьте потребление фруктов, овощей, цельнозерновых продуктов и белка. Это поможет поддерживать здоровье как матери, так и развивающегося плода.
СОВЕТ №2
Регулярно посещайте врача. На этом этапе беременности важно проходить регулярные осмотры и ультразвуковые исследования. Это поможет контролировать развитие плода и своевременно выявлять возможные проблемы.
СОВЕТ №3
Обратите внимание на физическую активность. Умеренные физические нагрузки, такие как прогулки или занятия йогой для беременных, могут помочь улучшить общее самочувствие и подготовить организм к родам. Однако всегда консультируйтесь с врачом перед началом новых тренировок.
СОВЕТ №4
Не забывайте о психоэмоциональном состоянии. Беременность может быть эмоционально сложным временем. Найдите способы расслабления, такие как медитация или занятия хобби, чтобы поддерживать положительный настрой и снизить уровень стресса.




