Что такое зубной камень и как он образуется
Этот тип зубных отложений встречается у 80–90 % пациентов при стоматологическом осмотре. Зубной камень чаще всего образуется на нижних резцах. Если камень находится над десной, его можно увидеть невооружённым глазом. Однако камень под десной может обнаружить только стоматолог с помощью специальных инструментов.
Основная причина образования зубного камня — недостаточная гигиена полости рта. Во время еды на зубах образуется мягкий налёт и скапливаются остатки пищи, что создаёт благоприятные условия для размножения бактерий. Особенно активно они развиваются на легко усваиваемых углеводах, содержащихся в сладких и мучных продуктах.
Мягкий налёт накапливается в местах, где зубы не очищаются от остатков пищи во время жевания. Со временем налёт насыщается минеральными веществами и затвердевает.
Микроорганизмы прилипают к поверхности зуба, образуя устойчивую зубную бляшку. Бактерии размножаются, и бляшка постепенно углубляется в десневую бороздку. По мере затвердевания доступ кислорода к отложениям прекращается, что способствует размножению анаэробных бактерий.
Зубной налёт может образовываться на любом зубе, но особенно стойкие формы он принимает вблизи крупных слюнных желез, расположенных под языком у центральной группы нижних зубов. Слюна содержит минеральные вещества, которые влияют на налёт. Постепенно он темнеет, становится более плотным и превращается в зубной камень, который невозможно удалить обычной зубной щёткой.
Причины возникновения зубного налёта:
- нерегулярная или недостаточно тщательная чистка зубов;
- большое количество мягкой пищи в рационе;
- нарушения обмена веществ и солевого баланса в организме;
- неправильное расположение зубов;
- наличие пломб или брекетов.
Врачи отмечают, что зубной камень является одной из наиболее распространенных проблем в стоматологии. Он образуется в результате минерализации налета, который не был удален вовремя. Специалисты подчеркивают, что наличие зубного камня может привести к серьезным последствиям, таким как воспаление десен, кариес и даже потеря зубов. Регулярные визиты к стоматологу для профессиональной чистки зубов помогают предотвратить образование камня и поддерживать здоровье полости рта. Врачи рекомендуют также соблюдать гигиену зубов в домашних условиях, используя зубную пасту с фтором и нить для чистки межзубных пространств. Профилактика играет ключевую роль в сохранении зубов и десен здоровыми.

Почему появляется зубной камень у детей
Зубной камень на молочных зубах образуется редко. Однако его появление у детей и подростков может указывать на хронические заболевания почек или анатомические особенности зубочелюстной системы.
| Признак зубного камня | Описание | Методы профилактики |
|---|---|---|
| Цвет | От светло-желтого до темно-коричневого, почти черного. Зависит от состава и времени образования. | Регулярная гигиена полости рта (чистка зубов, использование зубной нити, ополаскивателей). |
| Текстура | Твердая, шероховатая поверхность. Может быть пористой. | Профессиональная чистка зубов у стоматолога. |
| Локализация | Накапливается преимущественно в области шеек зубов, в межзубных промежутках. | Правильное питание, ограничение сладких и липких продуктов. |
| Влияние на здоровье | Способствует развитию гингивита, пародонтита, кариеса. Может вызывать неприятный запах изо рта. | Регулярные осмотры у стоматолога. |
| Методы удаления | Профессиональная чистка у стоматолога (снятие ультразвуком, кюретаж). | Использование специальных зубных паст и щеток. |
Симптомы зубного камня
Симптомы, связанные с зубным камнем, обычно проявляются в воспалении дёсен. Сам зубной камень не вызывает дискомфорта, но при значительном его накоплении он может повреждать дёсны, что приводит к различным жалобам.
Определить наличие зубного камня можно по следующим признакам:
- неприятный запах изо рта из-за скопления микроорганизмов на зубах;
- покраснение и отёчность дёсен;
- кровоточивость при чистке зубов или использовании зубной нити;
- повышенная чувствительность отдельных зубов из-за оголения корня;
- неудовлетворительный внешний вид, плотные тёмно-коричневые и желтоватые отложения.
Зубной камень — это проблема, с которой сталкиваются многие люди. В основном, мнения о нем разделяются. Некоторые считают, что это всего лишь эстетическая проблема, которая портит улыбку и требует регулярной чистки. Другие же осознают, что зубной камень может привести к более серьезным последствиям, таким как заболевания десен и кариес. Многие делятся опытом, как после профессиональной чистки зубов чувствуют себя значительно лучше, а их улыбка становится ярче. Однако, есть и те, кто не придает этому значения, полагая, что регулярная гигиена полости рта достаточно. Важно помнить, что профилактика и своевременное обращение к стоматологу могут помочь избежать неприятных последствий.

Как развивается зубной камень
Зубная бляшка образуется, когда микроорганизмы прикрепляются к поверхности зубов. После еды на зубах в течение нескольких минут формируется пленка (пелликула) из гликопротеинов, содержащихся в слюне. Через 4 часа к пелликуле присоединяются стрептококки, затем актиномицеты. На 2–4 день наблюдается снижение числа стрептококков и увеличение количества анаэробных бактерий. Спустя неделю к процессу присоединяются спирохеты и подвижные палочки.
Скорость образования зубного камня варьируется у разных людей. У некоторых он формируется быстро, у других — с умеренной скоростью, а у небольшой группы людей зубной камень вообще не образуется.
Зубной камень состоит из органических и неорганических компонентов. Минеральная часть включает фосфат кальция, карбонат кальция, фосфат магния и другие элементы. Органическая составляющая состоит из белково-полисахаридного комплекса, эпителия, лейкоцитов и микроорганизмов.
В зависимости от местоположения выделяют следующие виды зубного камня:
- Наддесневой — располагается выше уровня десны и чаще всего образуется на передних нижних зубах и верхних первых молярах.
- Поддесневой — находится ниже уровня десны в пародонтальном кармане на корне зуба.
- Каменный мост — твердый налет охватывает несколько соседних зубов.
Процесс формирования зубного камня проходит несколько этапов:
- Накопление минеральных компонентов и начальный рост кристаллов.
- Рост и развитие кристаллов.
- Насыщение кристаллов.
Сначала зубные отложения представляют собой мягкий налет, который затем превращается в зубной камень. Процесс формирования твердого зубного камня может занять от нескольких месяцев до полугода.
Существует четыре основных способа прикрепления зубного камня к зубной поверхности:
- Через органическую пелликулу на цементе (специфической костной ткани, покрывающей корень и шейку зуба).
- За счет органической пелликулы на эмали.
- Фиксация на неровных поверхностях, таких как кариозные поражения или разрушения костной ткани.
- Плотное прилегание нижней поверхности камня к впадинам или выступам неповрежденной поверхности цемента с проникновением бактериального налета в цемент.
Последствия зубного камня
Активное образование зубного камня может привести к воспалительным заболеваниям пародонта, начиная с гингивита и переходя к пародонтиту.
Гингивит — это воспаление дёсен, проявляющееся отёчностью и кровоточивостью. Пациенты часто отмечают неприятный запах изо рта, наличие зубного камня и налёта, а также кровь при чистке зубов и приёме пищи. Заболевание возникает из-за токсинов и ферментов, выделяемых патогенными бактериями в зубном налёте. При осмотре видны зубные отложения и отёчные дёсны, которые начинают кровоточить при зондировании, однако патологические зубодесневые карманы отсутствуют.
Если гингивит не лечить, он может прогрессировать в пародонтит. Это заболевание затрагивает не только десны, но и костную ткань, окружающую зубы. К симптомам гингивита добавляются поддесневые зубные отложения и образование патологических зубодесневых карманов глубиной от 3 до 7 мм. Рентгенологическое исследование показывает уменьшение объёма костной ткани в области межзубных перегородок.
Игнорирование лечения пародонтита может привести к потере как костной ткани, так и самих зубов.
Микробная биоплёнка, долгое время находящаяся в полости рта, влияет не только на пародонт, но и на внутренние органы. Исследование, проведённое в Швеции с 1985 по 2011 год, показало, что наличие зубного камня увеличивает риск сердечно-сосудистых заболеваний, включая инфаркт миокарда.
Хотя зубной камень способствует развитию заболеваний дёсен, он не является причиной кариеса и его осложнений. Клинические наблюдения показывают, что в участках с минерализованным налётом кариес, как правило, отсутствует.

Обнаружение зубного камня
Диагностика зубного камня обычно не требует сложных исследований. Он легко определяется при визуальном осмотре и инструментальном обследовании ротовой полости.
У пациентов с зубным камнем при осмотре можно заметить пять признаков воспаления десен:
- покраснение десен;
- отёчность десен;
- повышенную температуру в области воспалённых тканей;
- болезненные ощущения при острых процессах, таких как язвенно-некротический гингивит;
- подвижность зубов.
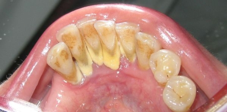
Наддесневой зубной камень располагается над краем десны и хорошо виден при осмотре. Это образование белого или бело-жёлтого цвета с твёрдой, глиноподобной текстурой, которое легко отделяется от зуба при зондировании.
Наиболее часто наддесневой зубной камень образуется на щёчных поверхностях верхних моляров и язычных поверхностях нижних передних зубов, так как именно здесь скапливается наибольшее количество слюны.
Поддесневой зубной камень находится ниже уровня десневого края и может быть незаметен при обычном осмотре. Его можно обнаружить с помощью пародонтологического зонда или на рентгеновских снимках. Поддесневой камень имеет чёрный или тёмно-коричневый цвет и плотно прилегает к зубной поверхности. Наличие такого камня указывает на то, что десна начала отходить от зуба, образуя патологический зубодесневой карман.
В процессе диагностики также проверяется зубодесневое прикрепление. Если оно отсутствует, стоматолог измеряет глубину патологического кармана.
Во время обследования десневой борозды часто наблюдается кровоточивость дёсен, что может указывать на наличие наддесневых зубных отложений. Для решения этой проблемы необходимо провести профессиональную чистку зубов у стоматолога.
Методы удаления зубного камня
Лечение зубного камня включает несколько ключевых этапов:
- Полное удаление зубного камня во время профессиональной гигиенической процедуры в стоматологическом кабинете.
- Замена устаревших пломб.
- Ортодонтическое вмешательство для устранения участков, где зубной камень образуется чаще всего из-за неправильного расположения зубов.
Процесс удаления зубного камня и налета состоит из следующих шагов:
- Устранение зубного камня с поверхности зубов.
- Обработка ротовой полости антисептическим раствором.
- Полировка зубной эмали.
Чистка зубов от камня может проводиться вручную или с использованием специализированного оборудования — звукового или ультразвукового скалера.
Ручной метод удаления зубного камня
К ручным инструментам относятся: скалеры, экскаваторы, рашпили, долота и кюреты.
Скалеры предназначены для удаления наддесневого зубного камня и бывают прямыми и изогнутыми. Экскаваторы используются для удаления крупных камней. Долота помогают разбивать «мосты» из зубного камня на передних зубах. Кюреты — специализированные инструменты для удаления поддесневого зубного камня. Рашпили служат для соскабливания отложений с поверхности зубов.
Чистка зубов ультразвуком
Звуковые и ультразвуковые скалеры — незаменимые инструменты для стоматологов, позволяющие быстро и эффективно удалять зубные отложения во время профессиональной чистки. При использовании скалера возникает эффект кавитации: в потоке жидкости образуются и разрушаются пузырьки воздуха, что приводит к гидравлическим ударам. Инструмент вибрирует при соприкосновении с зубом, создавая достаточную энергию для удаления отложений. При правильной эксплуатации аппарата не повреждаются ни мягкие, ни твердые ткани.
Перед ультразвуковой чисткой каменных мостов, если они прочно сцеплены с эмалью, применяется химическое протравливание твердых зубных отложений. Этот процесс включает обработку зубов щелочными и кислотными растворами, которые способствуют размягчению зубного камня.
Антисептическая обработка подразумевает орошение полости рта 0,05 % раствором хлоргексидина. Некоторые модели скалеров позволяют одновременно удалять зубной камень и подавать хлоргексидин. В стандартных скалерах вода подается через наконечник.
После удаления зубного камня поверхность зубов полируется для создания неблагоприятных условий для образования мягкого налета. Полировка выполняется с использованием резинок и щеточек, а также низкоабразивной пасты.
Когда нельзя чистить зубы ультразвуком?
Ультразвуковая чистка зубов не имеет абсолютных противопоказаний, но есть определенные ограничения. Стоматолог учитывает их после осмотра ротовой полости.
Метод пескоструйной обработки (Air Flow)
Метод Air Flow обеспечивает эффективное удаление налёта с зубов. Процедура выполняется с помощью специального аппарата, который направляет мощную струю смеси воздуха, воды и очищающих компонентов на поверхность зубов и в десневые карманы.
Химический способ удаления зубного камня
Химический способ основан на использовании специального геля, который размягчает зубные отложения. Однако его эффективность ниже, чем у ультразвуковой чистки.
Лазерная чистка
Лазерные технологии не используются для удаления зубных отложений.
Комбинированный метод
Комбинированный подход может включать использование Air Flow, ультразвуковых технологий и химических методов.
Для чего необходима профессиональная чистка зубов?
Профессиональная чистка зубов необходима для удаления зубных отложений. Зубной камень удерживает мягкий налёт, и без регулярной чистки он накапливается, что может привести к заболеваниям дёсен.
Можно ли произвести удаление зубного камня самостоятельно?
Удалить зубной камень в домашних условиях невозможно. Народные методы борьбы с зубным камнем неэффективны и могут привести к серьезным последствиям.
Прогноз. Профилактика
После удаления зубного налета он может вновь появиться, если пациент не изменит свои привычки по уходу за зубами. Профилактика зубного камня и заболеваний десен зависит от правильной гигиены полости рта. Регулярная чистка зубов помогает ежедневно удалять микробную бляшку и предотвращает её накопление. Без должной личной гигиены эффективное лечение заболеваний пародонта невозможно. Зубная бляшка — главная причина заболеваний пародонта, и именно из неё образуется зубной камень.
Как выбрать щётку для чистки зубов?
Прежде всего, важно правильно выбрать качественную зубную щётку, которая является основным инструментом для поддержания гигиены полости рта. На рынке представлен широкий ассортимент зубных щёток, различающихся по форме, размеру и дизайну. Рекомендуется использовать щётку средней жёсткости с нейлоновыми щетинками, имеющими закруглённые концы, чтобы минимизировать риск травмирования дёсен. Рукоятку щётки можно выбирать по своему вкусу. Американская стоматологическая ассоциация рекомендует заменять зубную щётку каждые 3–4 месяца.
Тем, кто склонен к быстрому образованию зубного камня, стоит применять специальные зубные пасты с пирофосфатами. Эти пасты помогают снизить накопление нового зубного камня.
Также полезно освоить технику чистки зубов по методу Басса. Она позволяет эффективно и безопасно удалять налёт над деснами и достигать поддесневых участков. Вот как её выполнять:
- Установите щётку параллельно зубам так, чтобы щетинки были направлены к дёснам.
- Наклоните щётку под углом 45 градусов и аккуратно двигайте щетинками, чтобы они попадали в десневую бороздку.
- Лёгкими движениями направляйте щетинки под десневую ткань, выполняя круговые движения или быстро перемещая щётку вперёд-назад 15–20 раз. Затем переходите к следующим зубам. Щётка должна охватывать 2–3 зуба одновременно.
- После очистки всей передней поверхности зубов продолжайте в той же технике очищать область со стороны языка.
- Чтобы почистить внутренние поверхности передних зубов, поверните щётку вертикально щетинками вверх.
- Не забудьте очистить жевательную поверхность моляров.
Кроме зубной щётки и пасты, рекомендуется использовать дополнительные средства для гигиены полости рта.К ним относятся:
- Флосс — для эффективного удаления налёта с апроксимальных поверхностей зубов (поверхностей, соприкасающихся с соседними зубами).
- Межзубные ёршики — для межзубной чистки, что помогает избавиться от зубной бляшки.
- Ирригатор — устройство, которое удаляет мягкий налёт из труднодоступных мест и предотвращает его минерализацию. Он также обеспечивает гидромассаж дёсен.
Помимо личной гигиены полости рта, рекомендуется проходить профессиональную чистку зубов у стоматолога каждые полгода.
Чем дольше зубной налёт остаётся на зубах и чем быстрее он образуется, тем выше риск возникновения осложнений, требующих серьёзного стоматологического вмешательства. Поэтому прогноз зависит от того, насколько быстро пациент обратится к врачу для удаления налёта и насколько ответственно он будет поддерживать гигиену полости рта в дальнейшем. Задача стоматолога заключается не только в регулярной профессиональной чистке, но и в правильной мотивации пациента и предоставлении рекомендаций.
Вопрос-ответ
Что будет, если не убрать зубной камень?
Доказан вред зубного камня для эмали, которая из-за кислородного голодания и наличия бактерий начинает разрушаться, что приводит к кариесу. Камень может спровоцировать появление стоматита — поражение слизистой оболочки полости рта.
Как понять, что у тебя зубные камни?
Первоначальный признак зубного камня — появление коричневого ободка с внутренней стороны зубов. Далее отложения переходят на наружную поверхность эмали и коронки. Цвет наслоений постепенно темнеет, возникает зуд и кровоточивость десен. Камень прорастает в десневой карман, отодвигает десну, углубляется десневой карман.
Сколько можно ходить с зубным камнем?
Стоматологи рекомендуют удалять зубной камень каждые полгода. Регулярная чистка эмали от накопившегося и отвердевшего налета – эффективная профилактика ряда заболеваний.
Советы
СОВЕТ №1
Регулярно чистите зубы дважды в день с использованием фторсодержащей зубной пасты. Это поможет предотвратить образование зубного камня, так как чистка удаляет налет, который в противном случае может минерализоваться и превратиться в камень.
СОВЕТ №2
Не забывайте о зубной нити и ополаскивателях для рта. Зубная нить помогает удалить остатки пищи и налет между зубами, где зубная щетка не всегда может достать. Ополаскиватель с антисептическими свойствами дополнительно борется с бактериями.
СОВЕТ №3
Посещайте стоматолога не реже двух раз в год для профессиональной чистки зубов. Стоматолог сможет удалить зубной камень, который вы не можете удалить самостоятельно, и даст рекомендации по уходу за полостью рта.
СОВЕТ №4
Сократите потребление сладких и кислых продуктов, так как они способствуют образованию налета и зубного камня. Вместо этого выбирайте здоровые закуски, такие как фрукты и овощи, которые помогают поддерживать здоровье зубов.

