ОБЩЕЕ
Пневмоторакс — распространенное осложнение, возникающее из-за заболеваний органов дыхания или травм грудной клетки. Современные исследования в области пульмонологии предоставляют следующие статистические данные:
- Спонтанный пневмоторакс чаще встречается у мужчин, которые сталкиваются с этой проблемой в 3–5 раз чаще, чем женщины. Возраст также имеет значение: у пожилых людей вероятность нарушения целостности плевральной полости значительно выше.
- Примерно 5% пациентов с множественными травмами страдают от пневмоторакса. Повреждения грудной клетки приводят к накоплению воздуха в плевральной полости у каждого второго пострадавшего. Часто наблюдается сочетание пневмоторакса с гемотораксом, что усложняет диагностику стандартными методами.
- Лечебные процедуры могут также вызвать это состояние. Чаще всего это происходит при игольчатых аспирациях и искусственной вентиляции легких.
Врачи отмечают, что пневмоторакс представляет собой серьезное состояние, требующее немедленного внимания. Это заболевание возникает, когда воздух проникает в плевральную полость, что может привести к коллапсу легкого. Специалисты подчеркивают важность ранней диагностики, так как симптомы могут варьироваться от одышки и боли в груди до более серьезных проявлений, таких как цианоз. Врачи рекомендуют проводить рентгенографию грудной клетки для подтверждения диагноза. Лечение может включать как консервативные методы, такие как наблюдение и кислородотерапия, так и более инвазивные, например, дренирование плевральной полости. Важно, чтобы пациенты не игнорировали симптомы и своевременно обращались за медицинской помощью, так как это может существенно повлиять на исход заболевания.

ПРИЧИНЫ
Этиологические причины пневмоторакса можно разделить на три категории:
- Болезни органов дыхания.
- Травматические повреждения.
- Медицинские процедуры.
| Признак | Пневмоторакс | Норма |
|---|---|---|
| Одышка | Наличие, часто выраженная | Отсутствует или незначительная |
| Боль в груди | Острая, колющая, усиливающаяся при дыхании | Отсутствует |
| Кашель | Может присутствовать, сухой | Отсутствует или влажный |
| Цианоз | Может присутствовать, особенно при напряженном пневмотораксе | Отсутствует |
| Перкуссия | Тимпанит над пораженной областью | Ясный легочный звук |
| Аускультация | Ослабленное или отсутствующее дыхание над пораженной областью | Везикулярное дыхание |
| Рентгенография грудной клетки | Визуализация свободного воздуха в плевральной полости | Отсутствие воздуха в плевральной полости |
Заболевания бронхопульмональной системы:
- Хроническая обструктивная болезнь легких (ХОБЛ)
- Кистозные пневмонии
- Муковисцидоз (кистозный фиброз)
- Кистозные изменения в альвеолярной ткани
- Туберкулез легких
- Тяжелая форма бронхиальной астмы
- Онкологические заболевания
Пневмоторакс — это состояние, которое вызывает много обсуждений среди людей, особенно тех, кто сталкивался с ним или знает о нем из медицинских источников. Многие отмечают, что это довольно серьезное заболевание, требующее немедленного внимания. Люди делятся своими историями о том, как они или их близкие испытывали резкую боль в груди и одышку, что стало сигналом для обращения за помощью.
Некоторые рассказывают о своих переживаниях во время лечения, подчеркивая важность своевременной диагностики и профессионального подхода врачей. В социальных сетях можно встретить советы по профилактике, а также обсуждения о том, как избежать травм, способствующих развитию пневмоторакса.
Многие также выражают благодарность медицинским работникам за их поддержку и квалифицированную помощь. В целом, пневмоторакс вызывает много эмоций и обсуждений, подчеркивая важность осведомленности о здоровье.

Травматические повреждения:
- Политравма.
- Травма грудной клетки (может быть проникающей или тупой).
Лечебные манипуляции:
- Искусственная вентиляция легких.
- Трансторакальная игольчатая аспирация.
- Катетеризация крупных вен.
- Биопсия плевры и легочной ткани.
Эти процедуры могут повредить плевру, что приведет к накоплению газов в плевральной полости.
Увеличение давления в плевральной области может вызвать смещение органов средостения и нарушить кровообращение, что в конечном итоге приводит к дыхательной недостаточности.

КЛАССИФИКАЦИЯ
Нарушения целостности плевральной полости, сопровождающиеся скоплением воздуха, классифицируются на три типа:
- Спонтанная форма — причина заболевания не установлена.
- Травматическая форма — возникает из-за проникающих или тупых травм грудной клетки.
- Ятрогенная форма — связана с проведением медицинских процедур.
В зависимости от локализации патологического процесса:
Течение пневмоторакса может быть:
СИМПТОМЫ
Это заболевание возникает внезапно и не связано с физической нагрузкой.
Основные жалобы пациента:
- Сильный болевой синдром. Боль усиливается при дыхании и может иррадиировать в плечо и руку с пораженной стороны.
- Одышка, степень которой зависит от объема воздуха в плевральной полости.
- Сухой кашель.
- Общая слабость и тревожность.
Благодаря компенсаторным механизмам выраженность клинических симптомов снижается уже в течение первых суток, даже без лечения.
ДИАГНОСТИКА
В диагностике пневмоторакса анамнестическая информация играет ключевую роль. Важно уточнить у пациента следующие моменты:
- наличие хронических заболеваний органов дыхания;
- продолжительность курения;
- случаи ранее перенесенного пневмоторакса;
- наличие симптомов системных заболеваний;
- наличие иммунологических нарушений.
Физикальные исследования:
При осмотре пациента можно заметить ограничение подвижности грудной клетки, напряжение вен на шее, синеватый оттенок кожи и подкожную эмфизему. На начальных стадиях пневмоторакса симптомы могут отсутствовать.
При перкуссии отмечаются изменения звука в зоне скопления воздуха. Для пневмоторакса характерен тимпанит.
Аускультация выявляет тахикардию и тахипноэ. В области пневмоторакса нормальное везикулярное дыхание практически не слышно.
Для окончательного диагноза необходимо провести лабораторные анализы и инструментальные исследования.
Лабораторная диагностика:
Анализ газового состава крови показывает снижение уровня кислорода. Этот признак характерен для большинства пациентов с пневмотораксом, который возникает из-за ухудшения вентиляции пораженного легкого. Пневмоторакс, развивающийся на фоне серьезных заболеваний бронхолегочной системы, может приводить к гиперкапнии — повышению концентрации углекислого газа в крови.
Усугубление патологического процесса может смещать кислотно-щелочной баланс в сторону ацидоза.
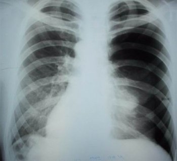
Инструментальная диагностика
Главным методом диагностики пневмоторакса является рентгенография грудной клетки. Исследование проводится в двух позициях: стоя и лежа.
Характерные признаки:
- Наличие тонкой тени от висцеральной плевры, отделенной от грудной клетки.
- Смещение органов средостения (сердца, трахеи, сосудов) в сторону, противоположную поражению.
- Образование небольшого плеврального выпота на стороне патологического процесса.
- Рентгенологическим признаком пневмоторакса в горизонтальном положении является появление глубокой борозды, вызванной увеличением угла между ребрами и диафрагмой.
Важно помнить, что исследование следует проводить при нормальной глубине вдоха. Принудительное дыхание может ухудшить состояние пациента и повысить риск асфиксии.
В последнее время все чаще применяются более чувствительные методы диагностики пневмоторакса, среди которых выделяется компьютерная томография. Это исследование позволяет выявить патологический процесс на ранних стадиях и рекомендуется для определения причин спонтанного пневмоторакса.
ЛЕЧЕНИЕ
Ключевые подходы к лечению пациентов с пневмотораксом были разработаны пульмонологами из Великобритании и США в начале XXI века. К ним относятся:
- мониторинг состояния и подача кислорода;
- простая аспирация;
- установка дренажных систем;
- химический плевродез;
- хирургическое вмешательство.
Контроль состояния и введение кислорода
Все стадии лечения пациентов с пневмотораксом проходят в стационаре. Если в плевральной полости находится небольшое количество воздуха (до 15%), достаточно активного наблюдения. Скорость разрешения неосложненного пневмоторакса составляет примерно 1,25% в день. Для ускорения этого процесса применяется кислородотерапия, которая может проводиться с помощью маски или назальных канюль. Гипоксемия является весомым основанием для назначения кислорода.
Простая аспирация
При увеличении объема воздуха в плевральной полости применяется аспирация, которая проводится во время пункции. Для этого в области второго межреберья по околососковой линии вводят катетер или иглу и удаляют содержимое. В зависимости от результатов процедуры катетер может быть удален или заменен дренажной трубкой.
Современные исследования показывают, что ранняя простая аспирация способствует расправлению легкого у 80% пациентов.
Дренирование плевральной полости
Неудачные результаты аспирации или частые рецидивы пневмоторакса являются основанием для установки дренажной системы. Процедура проводится под местной анестезией. После восстановления нормального объема дыхания и прекращения выхода воздуха дренажная трубка удаляется.
Плевродез
Сращение плевральных листков с помощью медикаментов применяется для снижения вероятности повторного пневмоторакса. Для этой цели используют антибактериальные препараты или крупнодисперсную тальковую суспензию. Эти вещества вводятся в полость через дренажную систему, что вызывает асептическое воспаление и последующее сращение плевральных листков.
Хирургическое вмешательство
Если консервативное лечение не дает результатов, это становится основанием для хирургических операций, в ходе которых:
- зашивают дефекты легочной ткани;
- удаляют субплевральные образования;
- осуществляют механический плевродез.
После разрешения пневмоторакса пациенту рекомендуется контрольное рентгенологическое обследование. Консультация пульмонолога назначается в течение 7-10 дней после выписки из стационара.
ОСЛОЖНЕНИЯ
Осложнения, связанные с пневмотораксом, встречаются довольно часто. По статистике, у 50% пациентов наблюдается ухудшение состояния.
Причины осложнений:
- Присоединение бактериальной инфекции, приводящее к образованию гноя в плевральной полости.
- Ригидное легкое — осложнение, возникающее из-за формирования соединительной ткани в сжатом легком.
- Острая дыхательная недостаточность.
- Рецидивирующий пневмоторакс наблюдается у 30–40% пациентов. Вероятность его возникновения увеличивается у пожилых людей с низким индексом массы тела и высоким ростом.
ПРОФИЛАКТИКА
Чтобы предотвратить развитие пневмоторакса, следует придерживаться следующих рекомендаций:
- Полностью исключить курение.
- Проводить искусственную вентиляцию легких с применением протективной тактики, которая включает снижение дыхательного объема и принцип открытого легкого.
- Выбирать надежный доступ для катетеризации; предпочтительной является яремная вена.
- Плевродез — это процесс заращивания плевральной полости с использованием химических веществ или хирургическим методом.
ПРОГНОЗ НА ВЫЗДОРОВЛЕНИЕ
Пневмоторакс имеет низкий уровень смертности, который чаще всего связан с ухудшением основного заболевания. Негативный прогноз чаще наблюдается у пациентов с иммунными недостаточностями и онкологическими заболеваниями. У людей с хроническими обструктивными заболеваниями легких в сочетании с пневмотораксом вероятность летального исхода возрастает в 3–4 раза.
Вопрос-ответ
Что такое пневмоторакс простыми словами?
Пневмоторакс – это патологическое скопление воздуха в плевральной полости, приводящее к нарушению вентиляционной функции легких и газообмена при дыхании. К общим признакам пневмоторакса относятся боль в грудной клетке на стороне пневмоторакса, затрудненное дыхание, одышка, сухой кашель, учащенное сердцебиение.
Можно ли вылечить пневмоторакс?
В зависимости от вида пневмоторакса, симптомов и количества воздуха в плевральной полости назначается лечение. Например, спонтанный бессимптомный пневмоторакс, до 10% поражения, лечения не требует. Если через 6 и 48 часов пневмоторакс не нарастает, врач продолжает наблюдать пациента.
Можно ли жить с пневмотораксом?
В течение достаточно продолжительного времени можно без проблем жить с воздухом в плевральной полости. Поэтому вам может не потребоваться какого-либо существенного лечения после ПСП.
Что нельзя делать после пневмоторакса?
После выписки из больницы пациент, перенесший пневмоторакс, должен воздерживаться от любой физической активности в течение 3-4 недель. Запрещается в течение 2-3 недель летать на самолете. Следует исключить прыжки с парашютом, ныряние и любые другие действия, связанные с изменением давления.
Советы
СОВЕТ №1
Если вы подозреваете у себя или у кого-то другого пневмоторакс, немедленно обратитесь за медицинской помощью. Симптомы могут включать резкую боль в груди, одышку и учащенное дыхание. Быстрая реакция может спасти жизнь.
СОВЕТ №2
Избегайте физической активности и напряжения, если у вас уже диагностирован пневмоторакс. Это поможет предотвратить ухудшение состояния и снизить риск повторного возникновения проблемы.
СОВЕТ №3
Если вы перенесли пневмоторакс, обязательно следуйте рекомендациям врача по восстановлению. Это может включать регулярные осмотры, рентгенографию и ограничение физической активности на определенный период времени.
СОВЕТ №4
Обучитесь основам первой помощи и распознаванию симптомов пневмоторакса. Это может быть полезно не только для вас, но и для окружающих, особенно если вы находитесь в удаленных или труднодоступных местах.



